Tel:
+49 (0)241 95 163 153
Fax:
+49 (0)241 95 163 155
E-Mail:
orders@anticorps-enligne.fr

RPN1 anticorps (AA 468-517)

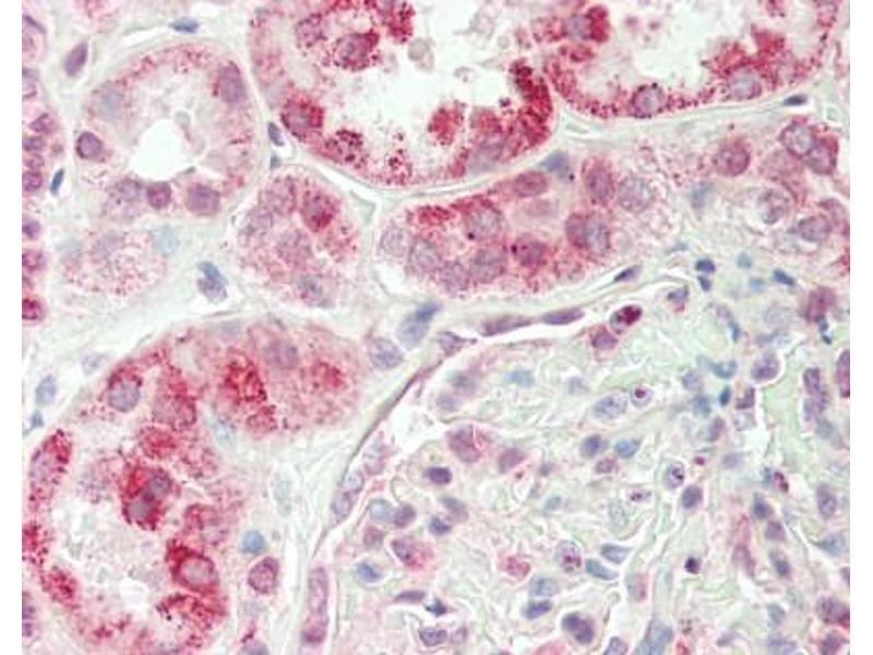
L’anticorps anti-RPN1 Polyclonal Lapin est utilisé pour la détection de RPN1 dans des échantillons de Humain, Souris, Rat et Singe. Il a été validé pour WB, IHC et IHC (p).
N° du produit ABIN6756620
512,07 €
Plus frais de livraison 40,00 € et TVA
100 μL
Destination: France
Envoi sous 15 à 20 jours ouvrables

Aperçu rapide pour RPN1 anticorps (AA 468-517) (ABIN6756620)

Antigène

Voir toutes RPN1 Anticorps
RPN1 (Ribophorin 1 (RPN1))

Reactivité

  • 72
  • 27
  • 13
  • 5
  • 3
  • 3
  • 3
  • 2
  • 2
  • 2
  • 2
  • 1
Humain, Souris, Rat, Singe

Hôte

  • 69
  • 10
Lapin

Clonalité

  • 67
  • 12
Polyclonal

Conjugué

  • 39
  • 12
  • 9
  • 3
  • 2
  • 2
  • 2
  • 2
  • 2
  • 2
  • 2
  • 2
Cet anticorp RPN1 est non-conjugé

Application

  • 60
  • 25
  • 24
  • 12
  • 11
  • 10
  • 7
  • 4
  • 2
  • 1
Western Blotting (WB), Immunohistochemistry (IHC), Immunohistochemistry (Paraffin-embedded Sections) (IHC (p))
  • Épitope

    • 7
    • 6
    • 5
    • 5
    • 3
    • 3
    • 3
    • 3
    • 2
    • 2
    • 2
    • 1
    • 1
    • 1
    • 1
    • 1
    • 1
    • 1
    • 1
    • 1
    AA 468-517

    Specificité

    Human RPN1

    Purification

    Immunoaffinity purified

    Immunogène

    Synthetic peptide located between aa468-517 of human RPN1 (P04843, NP_002941). Percent identity by BLAST analysis: Human, Chimpanzee, Gorilla, Orangutan, Gibbon, Monkey, Marmoset, Mouse, Rat (100%), Elephant, Bovine, Bat, Horse, Guinea pig (92%), Seabass, Salmon, Stickleback, Zebrafish (91%), Hamster, Panda, Dog, Rabbit, Pig, Turkey, Zebra finch, Chicken (85%), Pufferfish (83%).

    Type of Immunogen: Synthetic peptide

    Isotype

    IgG
  • Indications d'application

    Approved: IHC, IHC-P (10 μg/mL), WB (0.2 - 1 μg/mL)

    Usage: Western Blot: Suggested dilution at 1 μg/mL in 5 % skim milk / PBS buffer, and HRP conjugated anti-Rabbit IgG should be diluted in 1: 50,000 - 100,000 as second antibody. ELISA titer in peptide based assay: 1:312500.

    Commentaires

    Target Species of Antibody: Human

    Restrictions

    For Research Use only
  • Format

    Lyophilized

    Reconstitution

    Distilled water

    Concentration

    Lot specific

    Buffer

    Lyophilized from PBS with 2 % sucrose

    Conseil sur la manipulation

    Avoid repeat freeze-thaw cycles.

    Stock

    4 °C,-20 °C

    Stockage commentaire

    Long term: -20°C, the use of 50% glycerol is recommended if storing aliquots in -20°C for long term use (up to 1 year)
    Short term (less than 1 week): 4°C. Avoid freeze-thaw cycles.
  • Antigène

    RPN1 (Ribophorin 1 (RPN1))

    Autre désignation

    RPN1 / Ribophorin I

    Sujet

    Name/Gene ID: RPN1

    Synonyms: RPN1, Ribophorin-1, RPN-I, OST1, RBPH1, Ribophorin I

    ID gène

    6184

    NCBI Accession

    NP_002941
Vous êtes ici:
Chat with us!