Tel:
+49 (0)241 95 163 153
Fax:
+49 (0)241 95 163 155
E-Mail:
orders@anticorps-enligne.fr

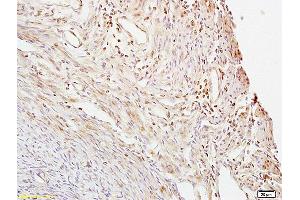
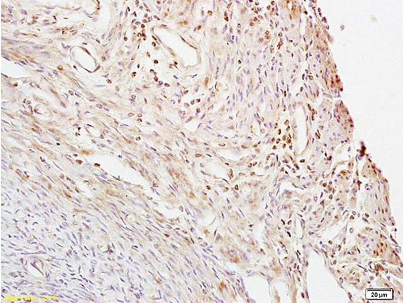
CTBP1 anticorps (AA 351-440)

Cet anticorps Lapin Polyclonal détecte spécifiquement CTBP1 dans ELISA, IHC (p), IF (cc), IF (p) et IHC (fro). Il présente une réactivité avec des échantillons de Souris.
N° du produit ABIN686152
357,70 €
Plus frais de livraison 40,00 € et TVA
100 μL
Destination: France
Envoi sous 8 à 12 jours ouvrables

Aperçu rapide pour CTBP1 anticorps (AA 351-440) (ABIN686152)

Antigène

Voir toutes CTBP1 Anticorps
CTBP1 (C-terminal Binding Protein 1 (CTBP1))

Reactivité

  • 98
  • 65
  • 58
  • 17
  • 6
  • 5
  • 4
  • 3
  • 2
  • 2
  • 2
  • 1
  • 1
Souris

Hôte

  • 106
  • 8
Lapin

Clonalité

  • 87
  • 27
Polyclonal

Conjugué

  • 62
  • 7
  • 4
  • 3
  • 3
  • 3
  • 3
  • 3
  • 3
  • 3
  • 3
  • 3
  • 1
  • 1
  • 1
  • 1
  • 1
  • 1
  • 1
  • 1
  • 1
  • 1
  • 1
  • 1
  • 1
  • 1
Cet anticorp CTBP1 est non-conjugé

Application

  • 76
  • 38
  • 36
  • 26
  • 24
  • 14
  • 13
  • 13
  • 11
  • 6
  • 5
  • 3
  • 2
  • 1
  • 1
ELISA, Immunohistochemistry (Paraffin-embedded Sections) (IHC (p)), Immunofluorescence (Cultured Cells) (IF (cc)), Immunofluorescence (Paraffin-embedded Sections) (IF (p)), Immunohistochemistry (Frozen Sections) (IHC (fro))
  • Épitope

    • 27
    • 14
    • 8
    • 8
    • 8
    • 3
    • 3
    • 2
    • 2
    • 2
    • 2
    • 2
    • 1
    • 1
    • 1
    • 1
    • 1
    • 1
    • 1
    • 1
    • 1
    • 1
    • 1
    • 1
    • 1
    • 1
    • 1
    AA 351-440

     Réactivité croisée

    Souris

    Homologie

    Human,Rat,Cow,Chicken

    Purification

    Purified by Protein A.

    Immunogène

    KLH conjugated synthetic peptide derived from human CTBP1

    Isotype

    IgG
  • Indications d'application

    ELISA 1:500-1000
    IHC-P 1:200-400
    IHC-F 1:100-500
    IF(IHC-P) 1:50-200
    IF(IHC-F) 1:50-200
    IF(ICC) 1:50-200

    Restrictions

    For Research Use only
  • Format

    Liquid

    Concentration

    1 μg/μL

    Buffer

    0.01M TBS( pH 7.4) with 1 % BSA, 0.02 % Proclin300 and 50 % Glycerol.

    Agent conservateur

    ProClin

    Précaution d'utilisation

    This product contains ProClin: a POISONOUS AND HAZARDOUS SUBSTANCE, which should be handled by trained staff only.

    Stock

    4 °C,-20 °C

    Stockage commentaire

    Shipped at 4°C. Store at -20°C for one year. Avoid repeated freeze/thaw cycles.

    Date de péremption

    12 months
  • Antigène

    CTBP1 (C-terminal Binding Protein 1 (CTBP1))

    Autre désignation

    CTBP1

    Sujet

    Synonyms: BARS, C-terminal-binding protein 1, CtBP1, CTBP

    Background: Corepressor targeting diverse transcription regulators such as GLIS2 or BCL6. Has dehydrogenase activity. Involved in controlling the equilibrium between tubular and stacked structures in the Golgi complex. Functions in brown adipose tissue (BAT) differentiation.

    ID gène

    1487

    UniProt

    Q13363

    Pathways

    Retinoic Acid Receptor Signaling Pathway
Vous êtes ici:
Chat with us!