Tel:
+49 (0)241 95 163 153
Fax:
+49 (0)241 95 163 155
E-Mail:
orders@anticorps-enligne.fr

Recombinant Keratin 10 anticorps

Cet anticorps Lapin Monoclonal détecte spécifiquement Keratin 10 dans IHC et WB. Il présente une réactivité avec des échantillons de Humain, Souris, Rat, Chien et Cat.
N° du produit ABIN6939904
639,45 €
Plus frais de livraison 40,00 € et TVA
Destination: France
Envoi sous 6 à 10 jours ouvrables

Aperçu rapide pour Recombinant Keratin 10 anticorps (ABIN6939904)

Antigène

Voir toutes Keratin 10 (KRT10) Anticorps
Keratin 10 (KRT10)

Type d'anticorp

Recombinant Antibody

Reactivité

  • 200
  • 104
  • 71
  • 47
  • 37
  • 6
  • 5
  • 4
  • 3
  • 2
  • 2
  • 2
  • 2
  • 2
  • 1
Humain, Souris, Rat, Chien, Cat

Hôte

  • 116
  • 88
  • 2
Lapin

Clonalité

  • 144
  • 62
Monoclonal

Conjugué

  • 101
  • 15
  • 7
  • 7
  • 7
  • 7
  • 7
  • 7
  • 6
  • 4
  • 3
  • 3
  • 3
  • 3
  • 3
  • 3
  • 3
  • 2
  • 1
  • 1
  • 1
  • 1
  • 1
  • 1
  • 1
  • 1
  • 1
  • 1
  • 1
  • 1
  • 1
  • 1
  • 1
Cet anticorp Keratin 10 est non-conjugé

Application

  • 137
  • 98
  • 56
  • 49
  • 49
  • 29
  • 25
  • 21
  • 14
  • 13
  • 10
  • 7
  • 6
  • 2
  • 2
  • 2
  • 1
Immunohistochemistry (IHC), Western Blotting (WB)

Clone

KRT10-1948R
  • Fonction

    Recombinant Cytokeratin 10 (Suprabasal Epithelial Marker) Antibody

    Specificité

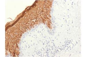
    This MAb recognizes a protein of 56.5 kDa, identified as cytokeratin 10 (CK10). CK10 is expressed in all suprabasal layers of the epidermis. In the epidermis, expression of CK10 strictly parallels the extent of differentiation, it is absent in the basal layer, appears in the first suprabasal layers and increases in concentration towards the granular layer. However, CK10 is rarely detected in early stages of vulvar squamous carcinomas (tumors less than 2 cm, clinical stage I) regardless of the tumor grade. In larger and more advanced tumors (greater than 2 cm, clinical stages II and III), CK10 is detected very frequently. Expression of CK10 is related to maturation of malignant keratinocytes, being preferentially detected in more-differentiated parts.

    Purification

    200ug/ml of Ab Purified from Bioreactor Concentrate by Protein A/G.

    Immunogène

    Recombinant human full-length KRT10 protein

    Isotype

    IgG, kappa
  • Indications d'application

    Positive Control: A431, HeLa, MCF7 cells. Esophagus or tonsil.

    Known Application: Immunohistochemistry (Formalin-fixed) (0.1-0.2 μg/mL for 30 min at RT)(Staining of formalin-fixed tissues requires boiling tissue sections in 10 mM citrate buffer, pH 6.0, for 10-20 min followed by cooling at RT for 20 minutes)Optimal dilution for a specific application should be determined.

    Restrictions

    For Research Use only
  • Concentration

    200 μg/mL

    Buffer

    Prepared in 10 mM PBS with 0.05 % BSA & 0.05 % azide.

    Agent conservateur

    Sodium azide

    Précaution d'utilisation

    This product contains Sodium azide: a POISONOUS AND HAZARDOUS SUBSTANCE which should be handled by trained staff only.

    Stock

    4 °C

    Stockage commentaire

    Antibody with azide - store at 2 to 8°C. Antibody without azide - store at -20 to -80°C. Antibody is stable for 24 months. Non-hazardous. No MSDS required.

    Date de péremption

    24 months
  • Antigène

    Keratin 10 (KRT10)

    Autre désignation

    KRT10

    Sujet

    BCIE, BIE, EHK, Keratin Type I Cytoskeletal 10, KRT10

    A431, HeLa, MCF7 cells. Esophagus or tonsil, Skin.

    Poids moléculaire

    56.5kDa

    ID gène

    3858, 99936

    UniProt

    P13645
Vous êtes ici:
Chat with us!