Tel:
+49 (0)241 95 163 153
Fax:
+49 (0)241 95 163 155
E-Mail:
orders@anticorps-enligne.fr

Mammaglobin A anticorps

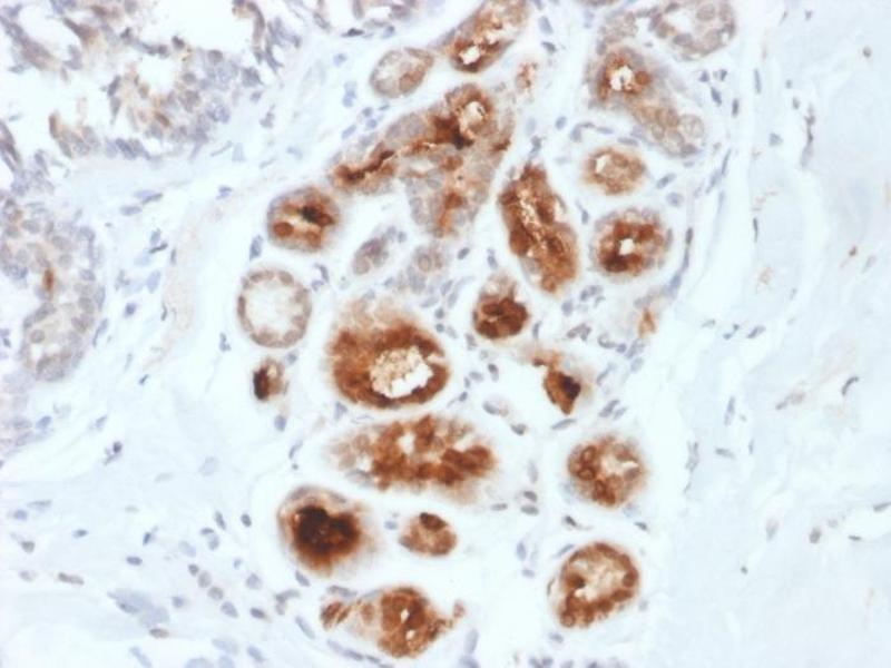
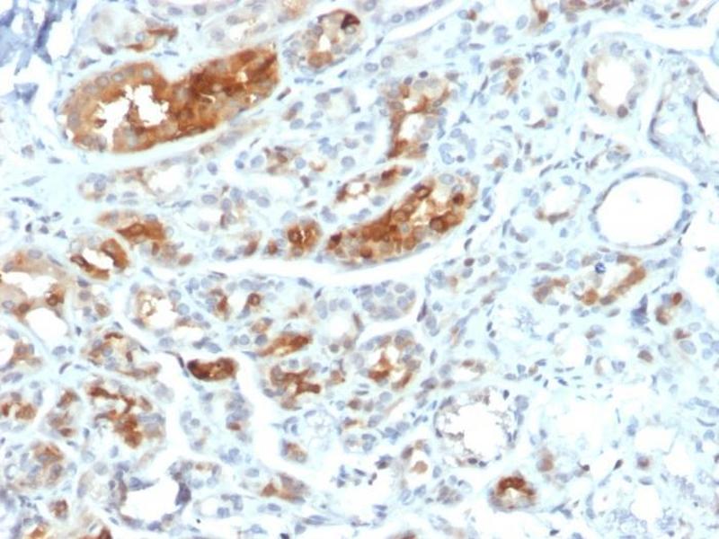
Cet anticorps anti-Mammaglobin A Monoclonal Souris (Clone MGB1-2000) (ABIN6940036) détecte spécifiquement Mammaglobin A dans WB, IHC et StM. L’anticorps est réactif avec des échantillons de Humain.
N° du produit ABIN6940036
639,45 €
Plus frais de livraison 40,00 € et TVA
Destination: France
Envoi sous 6 à 10 jours ouvrables

Aperçu rapide pour Mammaglobin A anticorps (ABIN6940036)

Antigène

Voir toutes Mammaglobin A (SCGB2A2) Anticorps
Mammaglobin A (SCGB2A2) (Secretoglobin, Family 2A, Member 2 (SCGB2A2))

Reactivité

  • 63
  • 33
  • 19
  • 2
  • 1
Humain

Hôte

  • 77
  • 19
  • 1
Souris

Clonalité

  • 60
  • 36
Monoclonal

Conjugué

  • 36
  • 6
  • 3
  • 3
  • 3
  • 3
  • 3
  • 3
  • 3
  • 3
  • 3
  • 3
  • 3
  • 3
  • 3
  • 2
  • 2
  • 2
  • 2
  • 2
  • 2
  • 1
  • 1
  • 1
Cet anticorp Mammaglobin A est non-conjugé

Application

  • 48
  • 39
  • 39
  • 26
  • 23
  • 17
  • 10
  • 10
  • 5
  • 3
  • 3
  • 2
  • 1
  • 1
Western Blotting (WB), Immunohistochemistry (IHC), Staining Methods (StM)

Clone

MGB1-2000
  • Purification

    Purified by Protein A/G

    Immunogène

    Recombinant full-length human Mammaglobin (SCGB2A2) protein

    Isotype

    IgG1 kappa
  • Indications d'application

    Positive Control: HeLa, MCF-7, SK-BR3 and T47D cells or Breast Carcinoma.

    Known Application: Western Blot (1-2 μg/mL),Immunohistochemistry (Formalin-fixed) (1-2 μg/mL for 30 min at RT),(Staining of formalin-fixed tissues requires boiling tissue sections in 10 mM citrate buffer, pH 6.0, for 10-20 min followed by cooling at RT for 20 minutes),Optimal dilution for a specific application should be determined.

    Restrictions

    For Research Use only
  • Concentration

    200 μg/mL

    Buffer

    10 mM PBS with 0.05 % BSA & 0.05 % azide.

    Agent conservateur

    Sodium azide

    Précaution d'utilisation

    This product contains Sodium azide: a POISONOUS AND HAZARDOUS SUBSTANCE which should be handled by trained staff only.

    Stock

    4 °C,-80 °C

    Stockage commentaire

    Antibody with azide - store at 2 to 8°C. Antibody without azide - store at -20 to -80°C. Antibody is stable for 24 months. Non-hazardous. No MSDS required.

    Date de péremption

    24 months
  • Antigène

    Mammaglobin A (SCGB2A2) (Secretoglobin, Family 2A, Member 2 (SCGB2A2))

    Autre désignation

    SCGB2A2

    Sujet

    Mammaglobin is a 93 amino acid glycoprotein with homology to other secretoglobin-uteroglobin family members. It was originally identified as a breast cancer restricted biomarker by differential screening. Mammaglobin related to secretoglobin family that includes human uteroglobin and lipophilin. Mammaglobin antibody stains cytoplasm of normal breast epithelial cells as well as primary and metastatic breast carcinomas. Mammaglobin expression is absent in prostate, kidney, colon, rectum, small intestine, stomach, pancreas, lung, and thyroid tissues. Mammaglobin may be used as part of an immunohistochemical panel for determination of metastatic breast carcinoma and tumor of unknown primary origin.

    Poids moléculaire

    18kDa

    ID gène

    4250

    UniProt

    Q13296
Vous êtes ici:
Chat with us!