Tel:
+49 (0)241 95 163 153
Fax:
+49 (0)241 95 163 155
E-Mail:
orders@anticorps-enligne.fr

PAX2A anticorps (AA 223-354)

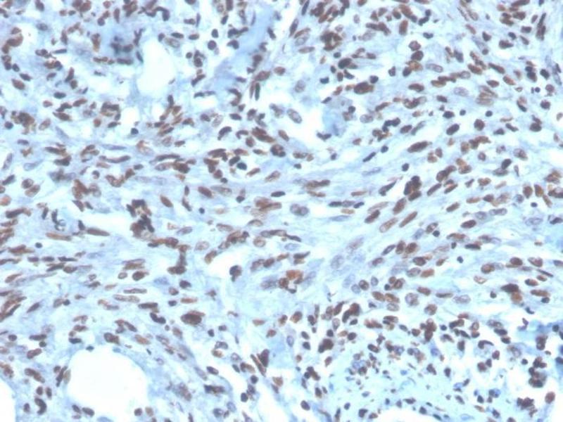
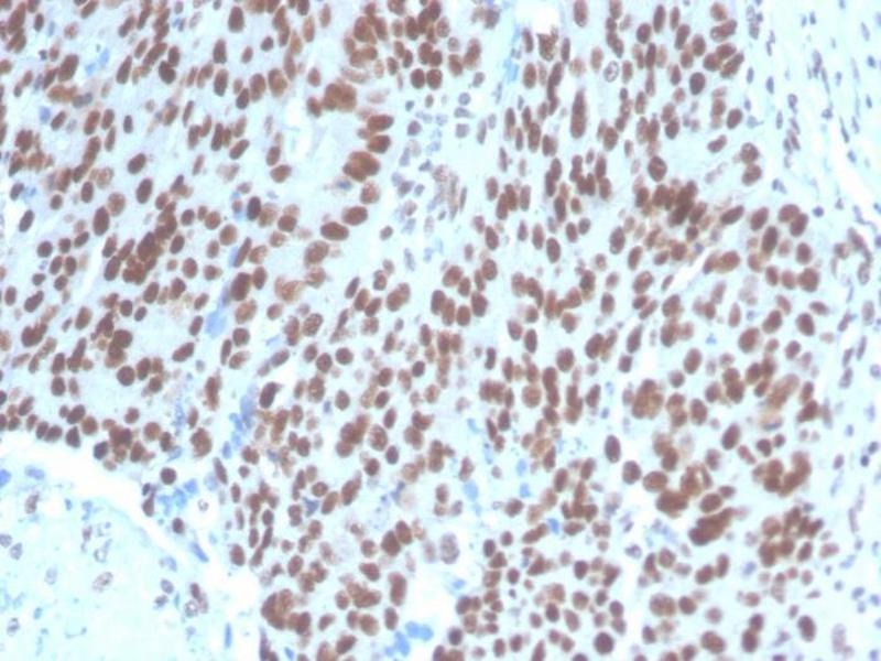
Cet anticorps anti-PAX2A Monoclonal Souris (Clone PAX2-1104) (ABIN6940252) détecte spécifiquement PAX2A dans ELISA et IHC. L’anticorps est réactif avec des échantillons de Humain.
N° du produit ABIN6940252
639,45 €
Plus frais de livraison 40,00 € et TVA
Destination: France
Envoi sous 6 à 10 jours ouvrables

Aperçu rapide pour PAX2A anticorps (AA 223-354) (ABIN6940252)

Antigène

Voir toutes PAX2A Anticorps
PAX2A (Paired Box Gene 2a (PAX2A))

Reactivité

  • 110
  • 49
  • 26
  • 8
  • 6
  • 6
  • 6
  • 5
  • 5
  • 4
  • 4
  • 4
  • 3
  • 3
  • 1
Humain

Hôte

  • 92
  • 22
Souris

Clonalité

  • 64
  • 50
Monoclonal

Conjugué

  • 48
  • 10
  • 8
  • 5
  • 5
  • 5
  • 5
  • 5
  • 5
  • 3
  • 2
  • 2
  • 2
  • 2
  • 1
  • 1
  • 1
  • 1
  • 1
  • 1
  • 1
Cet anticorp PAX2A est non-conjugé

Application

  • 73
  • 53
  • 42
  • 15
  • 13
  • 10
  • 7
  • 4
ELISA, Immunohistochemistry (IHC)

Clone

PAX2-1104
  • Épitope

    • 15
    • 8
    • 6
    • 5
    • 5
    • 5
    • 4
    • 3
    • 2
    • 2
    • 2
    • 2
    • 2
    • 2
    • 1
    • 1
    • 1
    • 1
    • 1
    • 1
    • 1
    • 1
    • 1
    AA 223-354

    Fonction

    PAX2 (Renal Cell & Ovarian Carcinoma Marker) Antibody

    Specificité

    Recognizes a protein of 42 kDa, which is identified as PAX2. It is a member of the paired box family of transcription factors, which is required for development and proliferation of the kidney, brain, and mullerian organs. PAX2 genes contain a highly conserved DNA sequence within the paired box region, which encodes a DNA-binding domain, enabling PAX proteins to bind the promoters of specific genes to transcriptionally regulate their expression. PAX2 is specifically expressed in the developing central nervous system, eye, ear, and urogenital tract, and is essential for the development of these organs. In normal adult tissues PAX2 was mainly detected in the urogenital system, including kidney, ureteric epithelium, fallopian tube epithelium, ovary and uterus. In tumors, PAX2 has been detected in renal cell carcinomas, Wilms' tumors, nephrogenic adenomas and papillary serous carcinoma of the ovary. PAX2 has been used as a marker for the identification of renal cell carcinoma and ovarian carcinoma by immunohistochemistry.

    Purification

    200ug/ml of Ab Purified from Bioreactor Concentrate by Protein A/G.

    Immunogène

    Recombinant fragment (around aa 223-354) human PAX2 protein (exact sequence is proprietary)

    Isotype

    IgG2b, kappa
  • Indications d'application

    Positive Control: NAMALWA cells. Fetal kidney or Renal Cell Carcinoma (RCC) or Ovarian Carcinoma.

    Known Application: ELISA (For coating, order Ab without BSA),Immunohistochemistry (Formalin-fixed) (1-2 μg/mL for 30 minutes at RT)(Staining of formalin-fixed tissues requires boiling tissue sections in 10 mM citrate buffer, pH 6.0, for 10-20 min followed by cooling at RT for 20 minutes)Optimal dilution for a specific application should be determined.

    Restrictions

    For Research Use only
  • Concentration

    200 μg/mL

    Buffer

    Prepared in 10 mM PBS with 0.05 % BSA & 0.05 % azide.

    Agent conservateur

    Sodium azide

    Précaution d'utilisation

    This product contains Sodium azide: a POISONOUS AND HAZARDOUS SUBSTANCE which should be handled by trained staff only.

    Stock

    4 °C

    Stockage commentaire

    Antibody with azide - store at 2 to 8°C. Antibody without azide - store at -20 to -80°C. Antibody is stable for 24 months. Non-hazardous. No MSDS required.

    Date de péremption

    24 months
  • Antigène

    PAX2A (Paired Box Gene 2a (PAX2A))

    Autre désignation

    PAX2

    Sujet

    Paired box gene 2, paired box homeotic gene 2, paired box protein 2, Paired box protein Pax-2, Paired box protein Pax2

    NAMALWA cells. Fetal kidney or Renal Cell Carcinoma (RCC) or Ovarian Carcinoma.

    Poids moléculaire

    42kDa

    ID gène

    5076, 155644

    UniProt

    Q02962

    Pathways

    Carbohydrate Homeostasis, Stem Cell Maintenance, Tube Formation
Vous êtes ici:
Chat with us!