Tel:
+49 (0)241 95 163 153
Fax:
+49 (0)241 95 163 155
E-Mail:
orders@anticorps-enligne.fr

Recombinant BCL6 anticorps (AA 256-389)

Cet anticorps anti-BCL6 Monoclonal Lapin (Clone BCL6-2497R) (ABIN6940532) détecte spécifiquement BCL6 dans IHC et StM. L’anticorps est réactif avec des échantillons de Humain.
N° du produit ABIN6940532
639,45 €
Plus frais de livraison 40,00 € et TVA
Destination: France
Envoi sous 6 à 10 jours ouvrables

Aperçu rapide pour Recombinant BCL6 anticorps (AA 256-389) (ABIN6940532)

Antigène

Voir toutes BCL6 Anticorps
BCL6 (B-Cell CLL/lymphoma 6 (BCL6))

Type d'anticorp

Recombinant Antibody

Reactivité

  • 173
  • 62
  • 26
  • 9
  • 3
  • 2
  • 1
  • 1
  • 1
  • 1
  • 1
Humain

Hôte

  • 104
  • 67
  • 2
  • 1
Lapin

Clonalité

  • 111
  • 63
Monoclonal

Conjugué

  • 84
  • 14
  • 7
  • 6
  • 6
  • 6
  • 6
  • 6
  • 6
  • 4
  • 4
  • 4
  • 4
  • 4
  • 4
  • 4
  • 2
  • 1
  • 1
  • 1
Cet anticorp BCL6 est non-conjugé

Application

  • 82
  • 82
  • 39
  • 39
  • 36
  • 35
  • 27
  • 17
  • 12
  • 11
  • 4
  • 2
  • 2
  • 2
  • 1
  • 1
  • 1
  • 1
  • 1
Immunohistochemistry (IHC), Staining Methods (StM)

Clone

BCL6-2497R
  • Épitope

    • 60
    • 12
    • 11
    • 7
    • 4
    • 4
    • 3
    • 3
    • 3
    • 3
    • 2
    • 2
    • 1
    • 1
    • 1
    • 1
    • 1
    • 1
    • 1
    • 1
    • 1
    • 1
    • 1
    • 1
    • 1
    • 1
    • 1
    • 1
    • 1
    • 1
    • 1
    • 1
    • 1
    AA 256-389

    Specificité

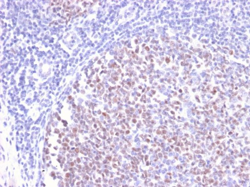
    Recognizes a protein of 95 kDa, which is identified as Bcl-6. Antibody to bcl-6 is helpful in a number of diagnostic settings: (1) In the differential diagnosis of small B-cell lymphoma. Follicular lymphoma will show bcl-6 (and CD10) positivity whereas other small B-cell lymphomas are usually negative. (2) Bcl-6 is an important prognostic marker in diffuse large B-cell lymphomas (DLBCL), where CD10, bcl-6 and MUM1/IRF4 are used to identify germinal center and activated B-cell phenotypes. (3) Bcl-6 can be valuable in distinguishing classical Hodgkin lymphoma from nodular lymphocyte predominant Hodgkin lymphoma (NLPHL). The Reed-Sternberg cells of classical Hodgkin lymphoma are bcl-6 negative whereas the large ('LH') cells of NLPHL are bcl-6 positive. In contrast, anti-Bcl-6 rarely stains mantle-cell lymphoma and MALT lymphoma.

    Purification

    Purified by Protein A/G

    Immunogène

    Recombinant human bcl-6 protein fragment (aa256-389) (exact sequence is proprietary)

    Isotype

    IgG
  • Indications d'application

    Positive Control: Raji or Ramos cells. Tonsil or Hodgkin's lymphoma.

    Known Application: Immunohistochemistry (Formalin-fixed) (1-2 μg/mL for 30 minutes at RT)(Staining of formalin-fixed tissues requires boiling tissue sections in 10 mM Tris with 1 mM EDTA, pH 9.0, for 10-20 min followed by cooling at RT for 20 minutes)Optimal dilution for a specific application should be determined.

    Restrictions

    For Research Use only
  • Concentration

    200 μg/mL

    Buffer

    10 mM PBS with 0.05 % BSA & 0.05 % azide.

    Agent conservateur

    Sodium azide

    Précaution d'utilisation

    This product contains Sodium azide: a POISONOUS AND HAZARDOUS SUBSTANCE which should be handled by trained staff only.

    Stock

    4 °C,-80 °C

    Stockage commentaire

    Antibody with azide - store at 2 to 8°C. Antibody without azide - store at -20 to -80°C. Antibody is stable for 24 months. Non-hazardous. No MSDS required.

    Date de péremption

    24 months
  • Antigène

    BCL6 (B-Cell CLL/lymphoma 6 (BCL6))

    Autre désignation

    BCL6

    Poids moléculaire

    95kDa

    ID gène

    604

    UniProt

    P41182

    Pathways

    Chromatin Binding, Regulation of Leukocyte Mediated Immunity, Production of Molecular Mediator of Immune Response, Protein targeting to Nucleus
Vous êtes ici:
Chat with us!