Tel:
+49 (0)241 95 163 153
Fax:
+49 (0)241 95 163 155
E-Mail:
orders@anticorps-enligne.fr

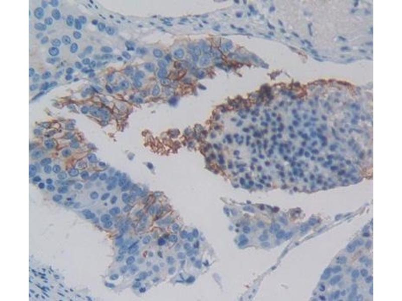
XCR1 anticorps (AA 244-322)

Cet anticorps anti-XCR1 Polyclonal Lapin (ABIN7443791) détecte spécifiquement XCR1 dans WB, IHC, IP et ICC. L’anticorps est réactif avec des échantillons de Souris.
N° du produit ABIN7443791
293,45 €
Plus frais de livraison 40,00 € et TVA
Destination: France
Envoi sous 11 à 15 jours ouvrables

Aperçu rapide pour XCR1 anticorps (AA 244-322) (ABIN7443791)

Antigène

Voir toutes XCR1 Anticorps
XCR1 (Chemokine (C Motif) Receptor 1 (XCR1))

Reactivité

  • 46
  • 12
  • 8
  • 1
  • 1
  • 1
Souris

Hôte

  • 26
  • 25
  • 4
Lapin

Clonalité

  • 27
  • 26
  • 2
Polyclonal

Conjugué

  • 30
  • 7
  • 5
  • 5
  • 3
  • 2
  • 1
  • 1
  • 1
Cet anticorp XCR1 est non-conjugé

Application

  • 19
  • 19
  • 12
  • 10
  • 7
  • 3
  • 2
  • 1
  • 1
  • 1
  • 1
  • 1
  • 1
Western Blotting (WB), Immunohistochemistry (IHC), Immunoprecipitation (IP), Immunocytochemistry (ICC)
  • Épitope

    • 8
    • 6
    • 4
    • 3
    • 3
    • 3
    • 2
    • 2
    • 2
    • 2
    • 1
    • 1
    • 1
    • 1
    • 1
    • 1
    AA 244-322

    Fonction

    Polyclonal Antibody to Chemokine C-Motif Receptor 1 (XCR1)

    Specificité

    The antibody is a rabbit polyclonal antibody raised against XCR1. It has been selected for its ability to recognize XCR1 in immunohistochemical staining and western blotting.

     Réactivité croisée

    Rat

    Purification

    Antigen-specific affinity chromatography followed by Protein A affinity chromatography

    Immunogène

    Recombinant Chemokine C-Motif Receptor 1 (XCR1) corresdonding to Thr244~Tyr322 with N-terminal His Tag

    Isotype

    IgG
  • Indications d'application

    Western blotting: 0.01-2 μg/mL,Immunohistochemistry: 5-20 μg/mL,Immunocytochemistry: 5-20 μg/mL,Optimal working dilutions must be determined by end user.

    Commentaires

    The thermal stability is described by the loss rate. The loss rate was determined by accelerated thermal degradation test, that is, incubate the protein at 37°C for 48h, and no obvious degradation and precipitation were observed. The loss rate is less than 5% within the expiration date under appropriate storage condition.

    Restrictions

    For Research Use only
  • Format

    Liquid

    Concentration

    0.5 mg/mL

    Buffer

    0.01M PBS, pH 7.4, containing 0.05 % Proclin-300, 50 % glycerol.

    Agent conservateur

    ProClin

    Précaution d'utilisation

    This product contains ProClin: a POISONOUS AND HAZARDOUS SUBSTANCE which should be handled by trained staff only.

    Stock

    4 °C,-20 °C

    Stockage commentaire

    Store at 4°C for frequent use. Stored at -20°C in a manual defrost freezer for two year without detectable loss of activity. Avoid repeated freeze-thaw cycles.

    Date de péremption

    24 months
  • Antigène

    XCR1 (Chemokine (C Motif) Receptor 1 (XCR1))

    Autre désignation

    XCR1

    Sujet

    CCXCR1, GPR5, XC-Chemokine Receptor 1, G Protein-Coupled Receptor 5, Lymphotactin Receptor

    UniProt

    Q9R0M1
Vous êtes ici:
Chat with us!