Tel:
+49 (0)241 95 163 153
Fax:
+49 (0)241 95 163 155
E-Mail:
orders@anticorps-enligne.fr

MMP7 anticorps (AA 1-267)

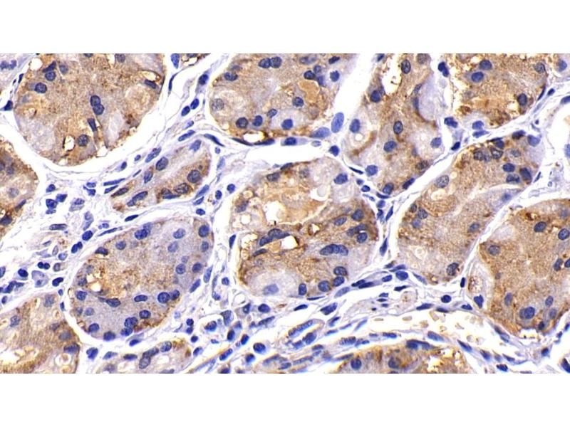
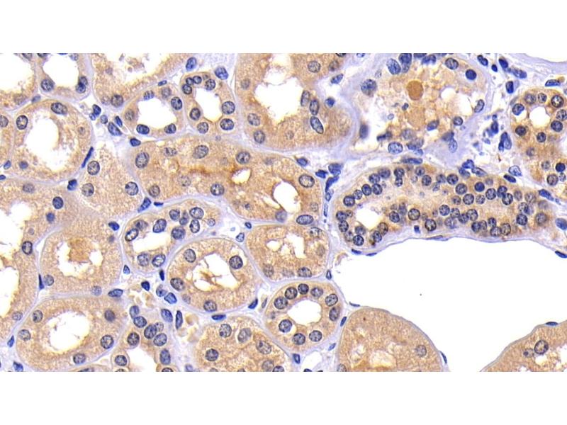
L’anticorps anti-MMP7 Polyclonal Lapin est utilisé pour la détection de MMP7 dans des échantillons de Humain. Il a été validé pour WB, IHC, IP et ICC.
N° du produit ABIN7431014
227,63 €
Plus frais de livraison 40,00 € et TVA
Destination: France
Envoi sous 11 à 15 jours ouvrables

Aperçu rapide pour MMP7 anticorps (AA 1-267) (ABIN7431014)

Antigène

Voir toutes MMP7 Anticorps
MMP7 (Matrix Metallopeptidase 7 (Matrilysin, Uterine) (MMP7))

Reactivité

  • 64
  • 28
  • 19
  • 5
  • 3
  • 3
  • 2
  • 1
  • 1
Humain

Hôte

  • 66
  • 21
  • 1
Lapin

Clonalité

  • 68
  • 20
Polyclonal

Conjugué

  • 55
  • 9
  • 8
  • 5
  • 2
  • 2
  • 1
  • 1
  • 1
  • 1
  • 1
  • 1
  • 1
Cet anticorp MMP7 est non-conjugé

Application

  • 57
  • 43
  • 38
  • 11
  • 10
  • 10
  • 10
  • 9
  • 3
  • 3
  • 2
  • 1
  • 1
  • 1
  • 1
  • 1
  • 1
  • 1
  • 1
  • 1
Western Blotting (WB), Immunohistochemistry (IHC), Immunoprecipitation (IP), Immunocytochemistry (ICC)
  • Épitope

    • 15
    • 6
    • 6
    • 6
    • 5
    • 3
    • 2
    • 2
    • 1
    • 1
    • 1
    • 1
    • 1
    • 1
    • 1
    • 1
    • 1
    AA 1-267

    Fonction

    Polyclonal Antibody to Matrix Metalloproteinase 7 (MMP7)

    Specificité

    The antibody is a rabbit polyclonal antibody raised against MMP7. It has been selected for its ability to recognize MMP7 in immunohistochemical staining and western blotting.

     Réactivité croisée

    Souris, Porc

    Purification

    Antigen-specific affinity chromatography followed by Protein A affinity chromatography

    Immunogène

    Recombinant Matrix Metalloproteinase 7 (MMP7) corresdonding to Met1~Lys267 with N-terminal His Tag

    Isotype

    IgG
  • Indications d'application

    Western blotting: 0.01-2 μg/mL,Immunohistochemistry: 5-20 μg/mL,Immunocytochemistry: 5-20 μg/mL,Optimal working dilutions must be determined by end user.

    Commentaires

    The thermal stability is described by the loss rate. The loss rate was determined by accelerated thermal degradation test, that is, incubate the protein at 37°C for 48h, and no obvious degradation and precipitation were observed. The loss rate is less than 5% within the expiration date under appropriate storage condition.

    Restrictions

    For Research Use only
  • Format

    Liquid

    Concentration

    0.5 mg/mL

    Buffer

    PBS, pH 7.4, containing 0.02 % Sodium azide, 50 % glycerol.

    Agent conservateur

    Sodium azide

    Précaution d'utilisation

    This product contains Sodium azide: a POISONOUS AND HAZARDOUS SUBSTANCE which should be handled by trained staff only.

    Stock

    4 °C,-20 °C

    Stockage commentaire

    Store at 4°C for frequent use. Stored at -20°C in a manual defrost freezer for two year without detectable loss of activity. Avoid repeated freeze-thaw cycles.

    Date de péremption

    24 months
  • Antigène

    MMP7 (Matrix Metallopeptidase 7 (Matrilysin, Uterine) (MMP7))

    Autre désignation

    MMP7

    Sujet

    MPSL1, MAT, PUMP-1, Matrilysin Uterine, Matrilysin, Matrin, Pump-1 Protease, Uterine Metalloproteinase

    UniProt

    P09237

    Pathways

    Production of Molecular Mediator of Immune Response
Vous êtes ici:
Chat with us!