Tel:
+49 (0)241 95 163 153
Fax:
+49 (0)241 95 163 155
E-Mail:
orders@anticorps-enligne.fr

Gallinacin-2 (GAL2) (AA 1-130) anticorps

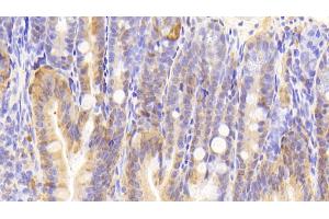
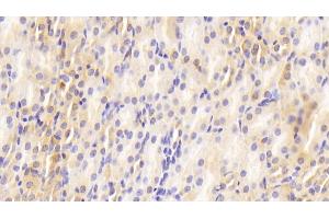
Cet anticorps Lapin Polyclonal détecte spécifiquement Gallinacin-2 dans WB, IHC, ICC et IP. Il présente une réactivité avec des échantillons de Souris.
N° du produit ABIN7431551
293,45 €
Plus frais de livraison 40,00 € et TVA
Destination: France
Envoi sous 11 à 15 jours ouvrables

Aperçu rapide pour Gallinacin-2 (GAL2) (AA 1-130) anticorps (ABIN7431551)

Antigène

Gallinacin-2 (GAL2)

Reactivité

  • 6
  • 1
  • 1
Souris

Hôte

  • 4
  • 4
Lapin

Clonalité

  • 4
  • 4
Polyclonal

Conjugué

  • 8
Inconjugué

Application

  • 8
  • 7
  • 7
  • 6
  • 1
  • 1
  • 1
Western Blotting (WB), Immunohistochemistry (IHC), Immunocytochemistry (ICC), Immunoprecipitation (IP)
  • Épitope

    • 4
    • 1
    • 1
    AA 1-130

    Fonction

    Polyclonal Antibody to Galectin 2 (GAL2)

    Specificité

    The antibody is a rabbit polyclonal antibody raised against GAL2. It has been selected for its ability to recognize GAL2 in immunohistochemical staining and western blotting.

     Réactivité croisée

    Rat

    Purification

    Antigen-specific affinity chromatography followed by Protein A affinity chromatography

    Immunogène

    Recombinant Galectin 2 (GAL2) corresdonding to Met1~Glu130 (Accession # Q9CQW5)

    Isotype

    IgG
  • Indications d'application

    Western blotting: 0.5-2 μg/mL,1:170-700,Immunohistochemistry: 5-20 μg/mL,1:17-70,Immunocytochemistry: 5-20 μg/mL,1:17-70,Optimal working dilutions must be determined by end user.

    Commentaires

    The thermal stability is described by the loss rate. The loss rate was determined by accelerated thermal degradation test, that is, incubate the protein at 37°C for 48h, and no obvious degradation and precipitation were observed. The loss rate is less than 5% within the expiration date under appropriate storage condition.

    Restrictions

    For Research Use only
  • Format

    Liquid

    Concentration

    0.35 mg/mL

    Buffer

    0.01M PBS, pH 7.4, containing 0.05 % Proclin-300, 50 % glycerol.

    Agent conservateur

    ProClin

    Précaution d'utilisation

    This product contains ProClin: a POISONOUS AND HAZARDOUS SUBSTANCE which should be handled by trained staff only.

    Stock

    4 °C,-20 °C

    Stockage commentaire

    Store at 4°C for frequent use. Stored at -20°C in a manual defrost freezer for two year without detectable loss of activity. Avoid repeated freeze-thaw cycles.

    Date de péremption

    24 months
  • Antigène

    Gallinacin-2 (GAL2)

    Autre désignation

    GAL2

    Sujet

    LGALS2, HL14, Lectin,Galactoside-Binding Soluble 2, Beta-galactoside-binding lectin L-14-II, Lactose-binding lectin 2, S-Lac lectin 2

    UniProt

    Q9CQW5
Vous êtes ici:
Chat with us!