Tel:
+49 (0)241 95 163 153
Fax:
+49 (0)241 95 163 155
E-Mail:
orders@anticorps-enligne.fr

PDGF-BB Homodimer (AA 21-241) anticorps

L’anticorps anti-PDGF-BB Homodimer Polyclonal Lapin est utilisé pour la détection de PDGF-BB Homodimer dans des échantillons de Souris. Il a été validé pour WB, IHC, IP et ICC.
N° du produit ABIN7438787
293,45 €
Plus frais de livraison 40,00 € et TVA
Destination: France
Envoi sous 11 à 15 jours ouvrables

Aperçu rapide pour PDGF-BB Homodimer (AA 21-241) anticorps (ABIN7438787)

Antigène

PDGF-BB Homodimer

Reactivité

  • 38
  • 24
  • 23
  • 15
  • 1
  • 1
  • 1
  • 1
  • 1
  • 1
  • 1
Souris

Hôte

  • 42
  • 4
  • 1
Lapin

Clonalité

  • 43
  • 4
Polyclonal

Conjugué

  • 20
  • 6
  • 5
  • 2
  • 2
  • 1
  • 1
  • 1
  • 1
  • 1
  • 1
  • 1
  • 1
  • 1
  • 1
  • 1
  • 1
Inconjugué

Application

  • 47
  • 15
  • 13
  • 13
  • 13
  • 8
  • 6
  • 5
  • 3
  • 3
  • 3
  • 2
  • 1
  • 1
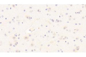
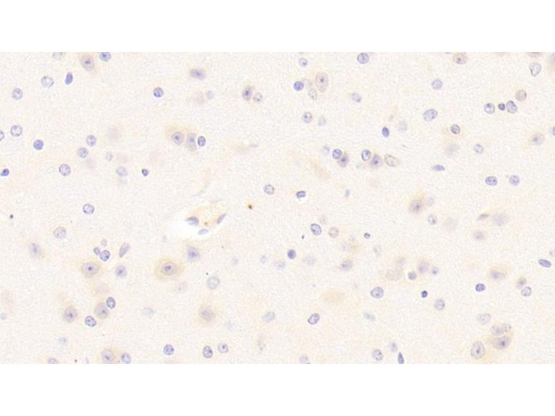
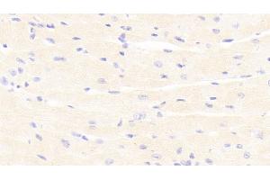
Western Blotting (WB), Immunohistochemistry (IHC), Immunoprecipitation (IP), Immunocytochemistry (ICC)
  • Épitope

    • 15
    • 8
    • 6
    • 2
    • 2
    • 1
    • 1
    • 1
    • 1
    AA 21-241

    Fonction

    Polyclonal Antibody to Platelet Derived Growth Factor BB (PDGF BB)

    Specificité

    The antibody is a rabbit polyclonal antibody raised against PDGF BB. It has been selected for its ability to recognize PDGF BB in immunohistochemical staining and western blotting.

    Purification

    Antigen-specific affinity chromatography followed by Protein A affinity chromatography

    Immunogène

    Recombinant Platelet Derived Growth Factor BB (PDGF BB) corresdonding to Glu21~Ala241 with N-terminal His and GST Tag

    Isotype

    IgG
  • Indications d'application

    Western blotting: 0.5-2 μg/mL,Immunohistochemistry: 5-20 μg/mL,Immunocytochemistry: 5-20 μg/mL,Optimal working dilutions must be determined by end user.

    Commentaires

    The thermal stability is described by the loss rate. The loss rate was determined by accelerated thermal degradation test, that is, incubate the protein at 37°C for 48h, and no obvious degradation and precipitation were observed. The loss rate is less than 5% within the expiration date under appropriate storage condition.

    Restrictions

    For Research Use only
  • Format

    Liquid

    Concentration

    0.44 mg/mL

    Buffer

    PBS, pH 7.4, containing 0.02 % Sodium azide, 50 % glycerol.

    Agent conservateur

    ProClin, Sodium azide

    Précaution d'utilisation

    This product contains ProClin and Sodium azide: POISONOUS AND HAZARDOUS SUBSTANCES which should be handled by trained staff only.

    Stock

    4 °C,-20 °C

    Stockage commentaire

    Store at 4°C for frequent use. Stored at -20°C in a manual defrost freezer for two year without detectable loss of activity. Avoid repeated freeze-thaw cycles.

    Date de péremption

    24 months
  • Antigène

    PDGF-BB Homodimer

    Autre désignation

    PDGF BB

    Sujet

    PDGF-BB

    UniProt

    P31240
Vous êtes ici:
Chat with us!