Tel:
+49 (0)241 95 163 153
Fax:
+49 (0)241 95 163 155
E-Mail:
orders@anticorps-enligne.fr

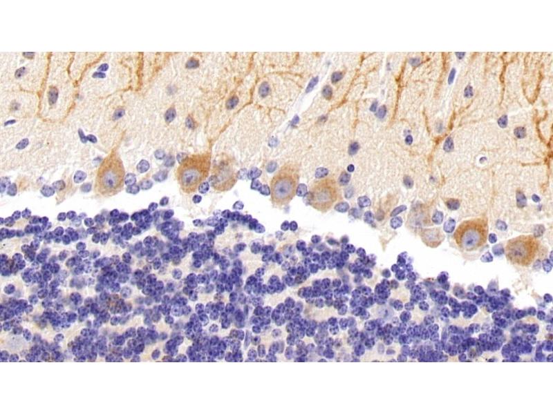
NOS1 anticorps (AA 53-247)

L’anticorps anti-NOS1 Polyclonal Lapin est utilisé pour la détection de NOS1 dans des échantillons de Souris. Il a été validé pour WB, IHC, IP et ICC.
N° du produit ABIN7437716
293,45 €
Plus frais de livraison 40,00 € et TVA
Destination: France
Envoi sous 11 à 15 jours ouvrables

Aperçu rapide pour NOS1 anticorps (AA 53-247) (ABIN7437716)

Antigène

Voir toutes NOS1 Anticorps
NOS1 (Nitric Oxide Synthase 1, Neuronal (NOS1))

Reactivité

  • 152
  • 103
  • 73
  • 15
  • 5
  • 4
  • 4
  • 3
  • 2
  • 2
  • 1
  • 1
  • 1
  • 1
Souris

Hôte

  • 145
  • 37
  • 2
  • 1
Lapin

Clonalité

  • 131
  • 54
Polyclonal

Conjugué

  • 84
  • 21
  • 10
  • 5
  • 3
  • 3
  • 3
  • 3
  • 3
  • 3
  • 3
  • 3
  • 3
  • 2
  • 2
  • 2
  • 2
  • 2
  • 2
  • 2
  • 2
  • 2
  • 2
  • 2
  • 2
  • 2
  • 2
  • 2
  • 2
  • 1
  • 1
  • 1
  • 1
  • 1
  • 1
Cet anticorp NOS1 est non-conjugé

Application

  • 140
  • 78
  • 61
  • 55
  • 40
  • 34
  • 27
  • 26
  • 17
  • 13
  • 8
  • 7
  • 5
  • 4
  • 1
Western Blotting (WB), Immunohistochemistry (IHC), Immunoprecipitation (IP), Immunocytochemistry (ICC)
  • Épitope

    • 23
    • 15
    • 13
    • 12
    • 9
    • 6
    • 5
    • 5
    • 4
    • 4
    • 4
    • 3
    • 3
    • 3
    • 3
    • 3
    • 3
    • 2
    • 2
    • 2
    • 2
    • 2
    • 2
    • 1
    • 1
    • 1
    • 1
    • 1
    • 1
    • 1
    • 1
    • 1
    • 1
    • 1
    • 1
    • 1
    • 1
    • 1
    AA 53-247

    Fonction

    Polyclonal Antibody to Nitric Oxide Synthase 1, Neuronal (NOS1)

    Specificité

    The antibody is a rabbit polyclonal antibody raised against NOS1. It has been selected for its ability to recognize NOS1 in immunohistochemical staining and western blotting.

    Purification

    Antigen-specific affinity chromatography followed by Protein A affinity chromatography

    Immunogène

    Recombinant Nitric Oxide Synthase 1, Neuronal (NOS1) corresdonding to Glu53~Pro247 (Accession # Q9Z0J4)

    Isotype

    IgG
  • Indications d'application

    Western blotting: 0.5-2 μg/mL,Immunohistochemistry: 5-20 μg/mL,Immunocytochemistry: 5-20 μg/mL,Optimal working dilutions must be determined by end user.

    Commentaires

    The thermal stability is described by the loss rate. The loss rate was determined by accelerated thermal degradation test, that is, incubate the protein at 37°C for 48h, and no obvious degradation and precipitation were observed. The loss rate is less than 5% within the expiration date under appropriate storage condition.

    Restrictions

    For Research Use only
  • Format

    Liquid

    Concentration

    0.45 mg/mL

    Buffer

    0.01M PBS, pH 7.4, containing 0.05 % Proclin-300, 50 % glycerol.

    Agent conservateur

    ProClin

    Précaution d'utilisation

    This product contains ProClin: a POISONOUS AND HAZARDOUS SUBSTANCE which should be handled by trained staff only.

    Stock

    4 °C,-20 °C

    Stockage commentaire

    Store at 4°C for frequent use. Stored at -20°C in a manual defrost freezer for two year without detectable loss of activity. Avoid repeated freeze-thaw cycles.

    Date de péremption

    24 months
  • Antigène

    NOS1 (Nitric Oxide Synthase 1, Neuronal (NOS1))

    Autre désignation

    NOS1

    Sujet

    NOS, nNOS, IHPS1, NC-NOS, N-NOS, bNOS, Neuronal NOS, Constitutive NOS, NOS type I, Nitric Ocide Synthase, Peptidyl-cysteine S-nitrosylase NOS1

    UniProt

    Q9Z0J4

    Pathways

    Negative Regulation of Hormone Secretion, Myometrial Relaxation and Contraction
Vous êtes ici:
Chat with us!