Tel:
+49 (0)241 95 163 153
Fax:
+49 (0)241 95 163 155
E-Mail:
orders@anticorps-enligne.fr

PCDHb2 anticorps (AA 79-253)

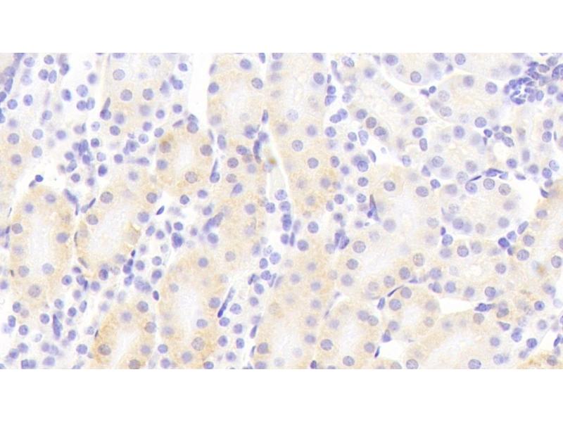
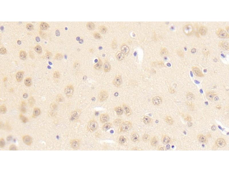
Cet anticorps anti-PCDHb2 Polyclonal Lapin (ABIN7440275) détecte spécifiquement PCDHb2 dans WB, IHC, IP et ICC. L’anticorps est réactif avec des échantillons de Souris.
N° du produit ABIN7440275
304,89 €
Plus frais de livraison 40,00 € et TVA
Destination: France
Envoi sous 11 à 15 jours ouvrables

Aperçu rapide pour PCDHb2 anticorps (AA 79-253) (ABIN7440275)

Antigène

Voir toutes PCDHb2 Anticorps
PCDHb2 (Protocadherin beta 2 (PCDHb2))

Reactivité

Souris

Hôte

  • 3
  • 2
Lapin

Clonalité

  • 5
Polyclonal

Conjugué

  • 5
Cet anticorp PCDHb2 est non-conjugé

Application

Western Blotting (WB), Immunohistochemistry (IHC), Immunoprecipitation (IP), Immunocytochemistry (ICC)
  • Épitope

    • 2
    • 2
    AA 79-253

    Fonction

    Polyclonal Antibody to Protocadherin Beta 2 (PCDHb2)

    Specificité

    The antibody is a rabbit polyclonal antibody raised against PCDHb2. It has been selected for its ability to recognize PCDHb2 in immunohistochemical staining and western blotting.

    Purification

    Antigen-specific affinity chromatography followed by Protein A affinity chromatography

    Immunogène

    Recombinant Protocadherin Beta 2 (PCDHb2) corresdonding to Phe79~Ile253 (Accession # Q91Y00)

    Isotype

    IgG
  • Indications d'application

    Western blotting: 0.5-2 μg/mL,Immunohistochemistry: 5-20 μg/mL,Immunocytochemistry: 5-20 μg/mL,Optimal working dilutions must be determined by end user.

    Commentaires

    The thermal stability is described by the loss rate. The loss rate was determined by accelerated thermal degradation test, that is, incubate the protein at 37°C for 48h, and no obvious degradation and precipitation were observed. The loss rate is less than 5% within the expiration date under appropriate storage condition.

    Restrictions

    For Research Use only
  • Format

    Liquid

    Concentration

    0.5 mg/mL

    Buffer

    PBS, pH 7.4, containing 0.02 % Sodium azide, 50 % glycerol.

    Agent conservateur

    Sodium azide

    Précaution d'utilisation

    This product contains Sodium azide: a POISONOUS AND HAZARDOUS SUBSTANCE which should be handled by trained staff only.

    Stock

    4 °C,-20 °C

    Stockage commentaire

    Store at 4°C for frequent use. Stored at -20°C in a manual defrost freezer for two year without detectable loss of activity. Avoid repeated freeze-thaw cycles.

    Date de péremption

    24 months
  • Antigène

    PCDHb2 (Protocadherin beta 2 (PCDHb2))

    Autre désignation

    PCDHb2

    Sujet

    PCDH-B2

    UniProt

    Q91Y00
Vous êtes ici:
Chat with us!