Tel:
+49 (0)241 95 163 153
Fax:
+49 (0)241 95 163 155
E-Mail:
orders@anticorps-enligne.fr

Hemoglobin anticorps

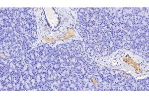
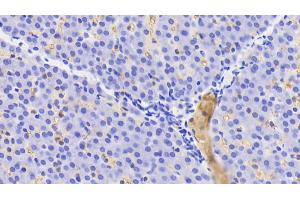
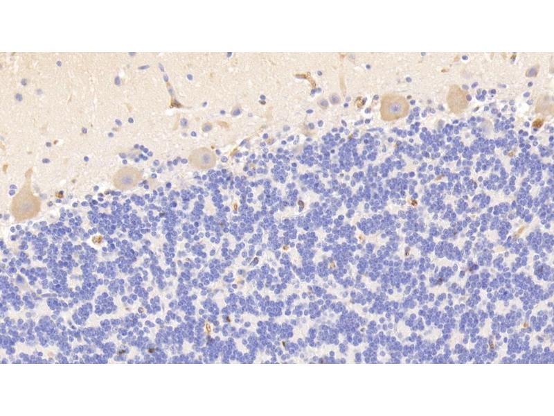
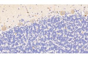
Cet anticorps anti-Hemoglobin Polyclonal Lapin (ABIN7437245) détecte spécifiquement Hemoglobin dans WB et IHC. L’anticorps est réactif avec des échantillons de Macaque rhésus.
N° du produit ABIN7437245
363,08 €
Plus frais de livraison 40,00 € et TVA
Destination: France
Envoi sous 11 à 15 jours ouvrables

Aperçu rapide pour Hemoglobin anticorps (ABIN7437245)

Antigène

Voir toutes Hemoglobin Anticorps
Hemoglobin

Reactivité

  • 72
  • 18
  • 16
  • 14
  • 13
  • 8
  • 5
  • 4
  • 4
  • 4
  • 4
  • 4
  • 2
  • 1
  • 1
Macaque rhésus

Hôte

  • 82
  • 37
  • 31
  • 9
  • 4
  • 3
  • 1
  • 1
Lapin

Clonalité

  • 125
  • 37
  • 1
Polyclonal

Conjugué

  • 69
  • 35
  • 27
  • 20
  • 3
  • 2
  • 2
  • 2
  • 2
  • 2
  • 2
  • 2
Cet anticorp Hemoglobin est non-conjugé

Application

  • 97
  • 97
  • 78
  • 25
  • 13
  • 11
  • 11
  • 10
  • 6
  • 4
  • 4
  • 3
  • 2
  • 2
  • 2
  • 1
  • 1
  • 1
  • 1
  • 1
  • 1
  • 1
  • 1
Western Blotting (WB), Immunohistochemistry (IHC)
  • Fonction

    Polyclonal Antibody to Hemoglobin (HB)

    Specificité

    The antibody is a rabbit polyclonal antibody raised against HB. It has been selected for its ability to recognize HB in immunohistochemical staining and western blotting.

     Réactivité croisée

    Chien, Humain, Porc

    Purification

    Antigen-specific affinity chromatography followed by Protein A affinity chromatography

    Immunogène

    Native Hemoglobin (HB)

    Isotype

    IgG
  • Indications d'application

    Western blotting: 0.01-2 μg/mL,Immunohistochemistry: 5-20 μg/mL,Optimal working dilutions must be determined by end user.

    Commentaires

    The thermal stability is described by the loss rate. The loss rate was determined by accelerated thermal degradation test, that is, incubate the protein at 37°C for 48h, and no obvious degradation and precipitation were observed. The loss rate is less than 5% within the expiration date under appropriate storage condition.

    Restrictions

    For Research Use only
  • Format

    Liquid

    Concentration

    0.5 mg/mL

    Buffer

    0.01M PBS, pH 7.4, containing 0.05 % Proclin-300, 50 % glycerol.

    Agent conservateur

    ProClin

    Précaution d'utilisation

    This product contains ProClin: a POISONOUS AND HAZARDOUS SUBSTANCE which should be handled by trained staff only.

    Stock

    4 °C,-20 °C

    Stockage commentaire

    Store at 4°C for frequent use. Stored at -20°C in a manual defrost freezer for two year without detectable loss of activity. Avoid repeated freeze-thaw cycles.

    Date de péremption

    24 months
  • Antigène

    Hemoglobin

    Sujet

    Hgb, Haemoglobin, Heterotetramer(αβ)2
Vous êtes ici:
Chat with us!