Tel:
+49 (0)241 95 163 153
Fax:
+49 (0)241 95 163 155
E-Mail:
orders@anticorps-enligne.fr

DDX58 anticorps (AA 550-776)

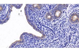
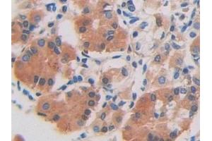
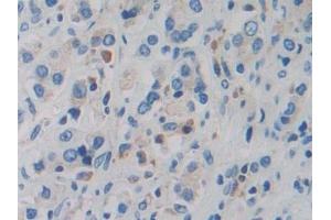
Cet anticorps anti-DDX58 Polyclonal Lapin (ABIN7433744) détecte spécifiquement DDX58 dans WB et IHC. L’anticorps est réactif avec des échantillons de Humain.
N° du produit ABIN7433744
298,22 €
Plus frais de livraison 40,00 € et TVA
Destination: France
Envoi sous 11 à 15 jours ouvrables

Aperçu rapide pour DDX58 anticorps (AA 550-776) (ABIN7433744)

Antigène

Voir toutes DDX58 Anticorps
DDX58 (DEAD (Asp-Glu-Ala-Asp) Box Polypeptide 58 (DDX58))

Reactivité

  • 87
  • 43
  • 18
  • 2
  • 1
Humain

Hôte

  • 80
  • 10
  • 1
  • 1
Lapin

Clonalité

  • 71
  • 21
Polyclonal

Conjugué

  • 44
  • 5
  • 4
  • 3
  • 2
  • 2
  • 2
  • 2
  • 2
  • 2
  • 2
  • 2
  • 2
  • 2
  • 2
  • 2
  • 2
  • 2
  • 2
  • 2
  • 2
  • 1
  • 1
Cet anticorp DDX58 est non-conjugé

Application

  • 76
  • 23
  • 19
  • 16
  • 14
  • 14
  • 11
  • 7
  • 6
  • 5
  • 4
  • 3
Western Blotting (WB), Immunohistochemistry (IHC)
  • Épitope

    • 15
    • 5
    • 5
    • 3
    • 3
    • 2
    • 2
    • 2
    • 2
    • 1
    • 1
    • 1
    • 1
    • 1
    • 1
    • 1
    • 1
    • 1
    • 1
    • 1
    • 1
    • 1
    AA 550-776

    Fonction

    Polyclonal Antibody to Probable ATP-dependent RNA Helicase DDX58 (DDX58)

    Specificité

    The antibody is a rabbit polyclonal antibody raised against DDX58. It has been selected for its ability to recognize DDX58 in immunohistochemical staining and western blotting.

     Réactivité croisée

    Souris, Rat

    Purification

    Antigen-specific affinity chromatography followed by Protein A affinity chromatography

    Immunogène

    Recombinant Probable ATP-dependent RNA Helicase DDX58 (DDX58) corresdonding to Asp550~Phe776 with N-terminal His Tag

    Isotype

    IgG
  • Indications d'application

    Western blotting: 0.01-2 μg/mL,Immunohistochemistry: 5-20 μg/mL,Optimal working dilutions must be determined by end user.

    Commentaires

    The thermal stability is described by the loss rate. The loss rate was determined by accelerated thermal degradation test, that is, incubate the protein at 37°C for 48h, and no obvious degradation and precipitation were observed. The loss rate is less than 5% within the expiration date under appropriate storage condition.

    Restrictions

    For Research Use only
  • Format

    Liquid

    Concentration

    0.5 mg/mL

    Buffer

    PBS, pH 7.4, containing 0.02 % Sodium azide, 50 % glycerol.

    Agent conservateur

    Sodium azide

    Précaution d'utilisation

    This product contains Sodium azide: a POISONOUS AND HAZARDOUS SUBSTANCE which should be handled by trained staff only.

    Stock

    4 °C,-20 °C

    Stockage commentaire

    Store at 4°C for frequent use. Stored at -20°C in a manual defrost freezer for two year without detectable loss of activity. Avoid repeated freeze-thaw cycles.

    Date de péremption

    24 months
  • Antigène

    DDX58 (DEAD (Asp-Glu-Ala-Asp) Box Polypeptide 58 (DDX58))

    Autre désignation

    DDX58

    Sujet

    RIG-I, RIGI, DEAD(Asp-Glu-Ala-Asp)box Polypeptide 58, Probable ATP-Dependent RNA Helicase DDX58, RIG-I-like receptor, RIG-I-like receptor 1

    UniProt

    O95786

    Pathways

    Activation of Innate immune Response, Hepatitis C
Vous êtes ici:
Chat with us!