Tel:
+49 (0)241 95 163 153
Fax:
+49 (0)241 95 163 155
E-Mail:
orders@anticorps-enligne.fr

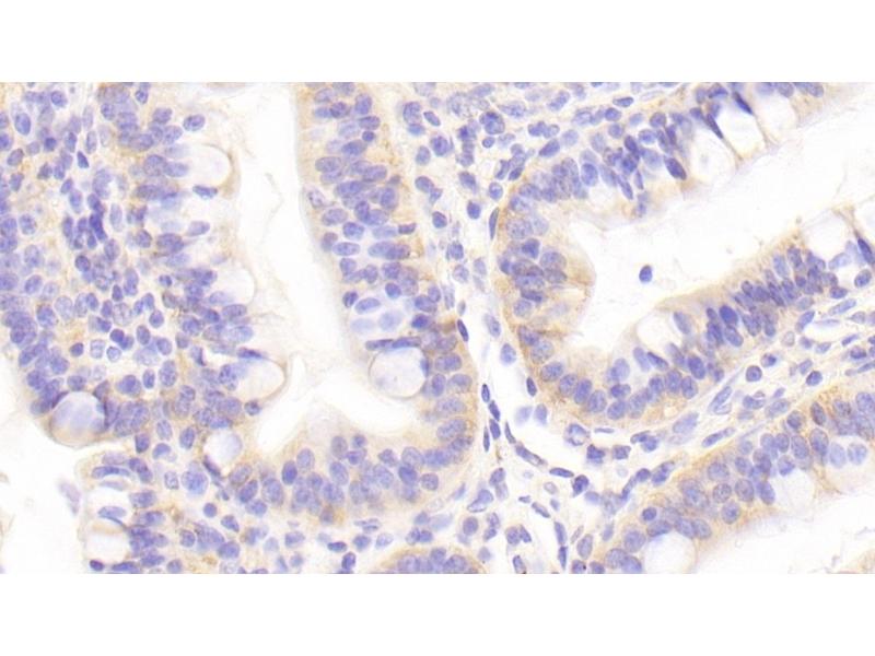
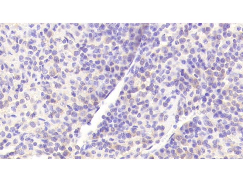
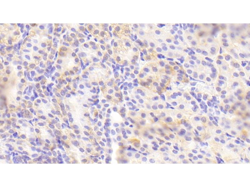
GOLM1 anticorps (AA 119-223)

Cet anticorps anti-GOLM1 Polyclonal Lapin (ABIN7433906) détecte spécifiquement GOLM1 dans WB, IHC, ICC et IP. L’anticorps est réactif avec des échantillons de Humain.
N° du produit ABIN7433906
298,22 €
Plus frais de livraison 40,00 € et TVA
Destination: France
Envoi sous 11 à 15 jours ouvrables

Aperçu rapide pour GOLM1 anticorps (AA 119-223) (ABIN7433906)

Antigène

Voir toutes GOLM1 Anticorps
GOLM1 (Golgi Membrane Protein 1 (GOLM1))

Reactivité

  • 91
  • 37
  • 28
  • 3
  • 2
  • 2
  • 2
  • 1
  • 1
  • 1
  • 1
  • 1
Humain

Hôte

  • 66
  • 33
  • 1
Lapin

Clonalité

  • 51
  • 49
Polyclonal

Conjugué

  • 54
  • 14
  • 6
  • 3
  • 3
  • 3
  • 3
  • 3
  • 3
  • 3
  • 1
  • 1
  • 1
  • 1
  • 1
Cet anticorp GOLM1 est non-conjugé

Application

  • 73
  • 43
  • 34
  • 30
  • 23
  • 22
  • 10
  • 5
  • 2
  • 2
  • 2
  • 2
  • 1
  • 1
  • 1
Western Blotting (WB), Immunohistochemistry (IHC), Immunocytochemistry (ICC), Immunoprecipitation (IP)
  • Épitope

    • 7
    • 4
    • 4
    • 3
    • 3
    • 2
    • 2
    • 2
    • 1
    • 1
    • 1
    • 1
    • 1
    • 1
    • 1
    • 1
    • 1
    • 1
    • 1
    • 1
    AA 119-223

    Fonction

    Polyclonal Antibody to Golgi Phosphoprotein 2 (GOLPH2)

    Specificité

    The antibody is a rabbit polyclonal antibody raised against GOLPH2. It has been selected for its ability to recognize GOLPH2 in immunohistochemical staining and western blotting.

     Réactivité croisée

    Porc, Rat

    Purification

    Antigen-specific affinity chromatography followed by Protein A affinity chromatography

    Immunogène

    Recombinant Golgi Phosphoprotein 2 (GOLPH2) corresdonding to Val119~Gly223 with N-terminal His and GST Tag

    Isotype

    IgG
  • Indications d'application

    Western blotting: 0.5-5 μg/mL,Immunohistochemistry: 5-20 μg/mL,Immunocytochemistry: 5-20 μg/mL,Optimal working dilutions must be determined by end user.

    Commentaires

    The thermal stability is described by the loss rate. The loss rate was determined by accelerated thermal degradation test, that is, incubate the protein at 37°C for 48h, and no obvious degradation and precipitation were observed. The loss rate is less than 5% within the expiration date under appropriate storage condition.

    Restrictions

    For Research Use only
  • Format

    Liquid

    Concentration

    500 μg/mL

    Buffer

    PBS, pH 7.4, containing 0.02 % Sodium azide, 50 % glycerol.

    Agent conservateur

    Sodium azide

    Précaution d'utilisation

    This product contains Sodium azide: a POISONOUS AND HAZARDOUS SUBSTANCE which should be handled by trained staff only.

    Stock

    4 °C,-20 °C

    Stockage commentaire

    Store at 4°C for frequent use. Stored at -20°C in a manual defrost freezer for two year without detectable loss of activity. Avoid repeated freeze-thaw cycles.

    Date de péremption

    24 months
  • Antigène

    GOLM1 (Golgi Membrane Protein 1 (GOLM1))

    Autre désignation

    GOLPH2

    Sujet

    GOLM1, GP73, C9orf155, Golgi Membrane Protein 1, Golgi Protein 73

    UniProt

    Q8NBJ4
Vous êtes ici:
Chat with us!