Tel:
+49 (0)241 95 163 153
Fax:
+49 (0)241 95 163 155
E-Mail:
orders@anticorps-enligne.fr

ANGPTL2 anticorps (AA 267-493)

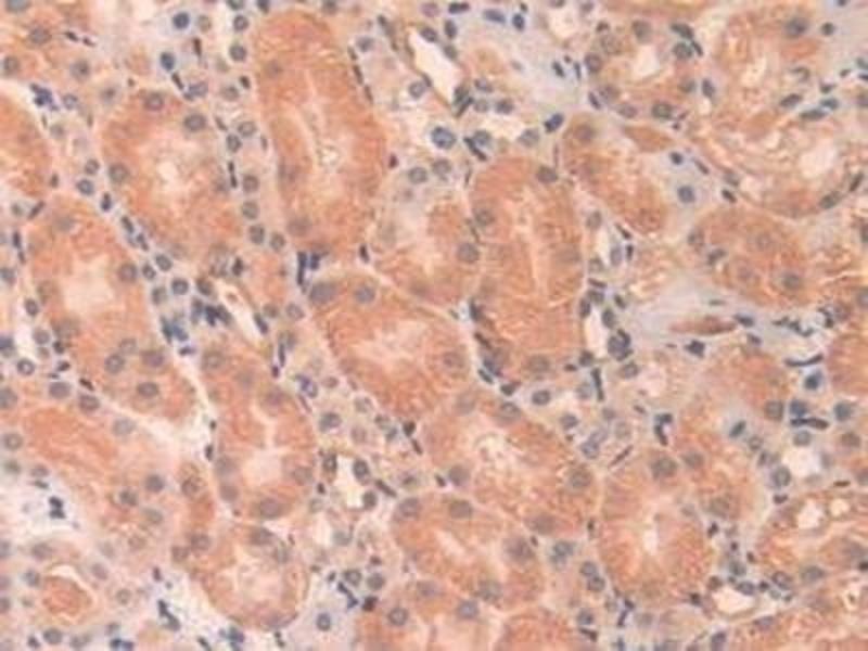
L’anticorps anti-ANGPTL2 Polyclonal Lapin est utilisé pour la détection de ANGPTL2 dans des échantillons de Souris. Il a été validé pour WB et IHC.
N° du produit ABIN7434344
304,89 €
Plus frais de livraison 40,00 € et TVA
Destination: France
Envoi sous 11 à 15 jours ouvrables

Aperçu rapide pour ANGPTL2 anticorps (AA 267-493) (ABIN7434344)

Antigène

Voir toutes ANGPTL2 Anticorps
ANGPTL2 (Angiopoietin-Like 2 (ANGPTL2))

Reactivité

  • 31
  • 19
  • 12
  • 2
  • 2
  • 2
  • 2
  • 2
  • 2
  • 1
  • 1
  • 1
Souris

Hôte

  • 35
  • 3
  • 1
Lapin

Clonalité

  • 36
  • 3
Polyclonal

Conjugué

  • 22
  • 8
  • 2
  • 1
  • 1
  • 1
  • 1
  • 1
  • 1
  • 1
Cet anticorp ANGPTL2 est non-conjugé

Application

  • 27
  • 16
  • 11
  • 8
  • 7
  • 3
Western Blotting (WB), Immunohistochemistry (IHC)
  • Épitope

    • 7
    • 4
    • 2
    • 2
    • 1
    • 1
    • 1
    • 1
    • 1
    • 1
    • 1
    AA 267-493

    Fonction

    Polyclonal Antibody to Angiopoietin Like Protein 2 (ANGPTL2)

    Specificité

    The antibody is a rabbit polyclonal antibody raised against ANGPTL2. It has been selected for its ability to recognize ANGPTL2 in immunohistochemical staining and western blotting.

     Réactivité croisée

    Humain, Rat

    Purification

    Antigen-specific affinity chromatography followed by Protein A affinity chromatography

    Immunogène

    Recombinant Angiopoietin Like Protein 2 (ANGPTL2) corresdonding to Ser267~His493

    Isotype

    IgG
  • Indications d'application

    Western blotting: 0.01-2 μg/mL,Immunohistochemistry: 5-20 μg/mL,Optimal working dilutions must be determined by end user.

    Commentaires

    The thermal stability is described by the loss rate. The loss rate was determined by accelerated thermal degradation test, that is, incubate the protein at 37°C for 48h, and no obvious degradation and precipitation were observed. The loss rate is less than 5% within the expiration date under appropriate storage condition.

    Restrictions

    For Research Use only
  • Format

    Liquid

    Concentration

    0.5 mg/mL

    Buffer

    PBS, pH 7.4, containing 0.02 % Sodium azide, 50 % glycerol.

    Agent conservateur

    Sodium azide

    Précaution d'utilisation

    This product contains Sodium azide: a POISONOUS AND HAZARDOUS SUBSTANCE which should be handled by trained staff only.

    Stock

    4 °C,-20 °C

    Stockage commentaire

    Store at 4°C for frequent use. Stored at -20°C in a manual defrost freezer for two year without detectable loss of activity. Avoid repeated freeze-thaw cycles.

    Date de péremption

    24 months
  • Antigène

    ANGPTL2 (Angiopoietin-Like 2 (ANGPTL2))

    Autre désignation

    ANGPTL2

    Sujet

    HARP, ARP2, Angiopoietin-Related Protein 2

    UniProt

    Q9R045
Vous êtes ici:
Chat with us!