Tel:
+49 (0)241 95 163 153
Fax:
+49 (0)241 95 163 155
E-Mail:
orders@anticorps-enligne.fr

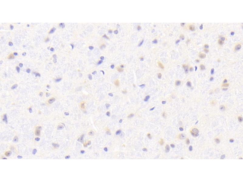
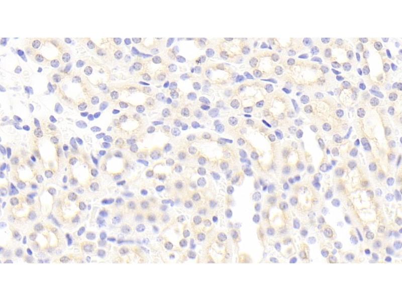
Iba1 anticorps (AA 35-102)

Cet anticorps anti-Iba1 Polyclonal Lapin (ABIN7434800) détecte spécifiquement Iba1 dans WB, IHC, ICC et IP. L’anticorps est réactif avec des échantillons de Souris.
N° du produit ABIN7434800
317,29 €
Plus frais de livraison 40,00 € et TVA
Destination: France
Envoi sous 11 à 15 jours ouvrables

Aperçu rapide pour Iba1 anticorps (AA 35-102) (ABIN7434800)

Antigène

Voir toutes Iba1 (IBA1) Anticorps
Iba1 (IBA1) (Ionized Calcium-binding Adapter Molecule 1 (IBA1))

Reactivité

  • 148
  • 73
  • 68
  • 2
  • 1
  • 1
  • 1
Souris

Hôte

  • 118
  • 55
  • 6
  • 1
  • 1
Lapin

Clonalité

  • 91
  • 90
Polyclonal

Conjugué

  • 68
  • 24
  • 11
  • 6
  • 5
  • 5
  • 5
  • 5
  • 5
  • 5
  • 3
  • 3
  • 3
  • 3
  • 3
  • 3
  • 3
  • 3
  • 3
  • 2
  • 2
  • 1
  • 1
  • 1
  • 1
  • 1
  • 1
  • 1
  • 1
  • 1
  • 1
  • 1
Cet anticorp Iba1 est non-conjugé

Application

  • 114
  • 110
  • 41
  • 37
  • 33
  • 32
  • 27
  • 21
  • 18
  • 14
  • 14
  • 5
  • 5
  • 3
  • 3
  • 2
  • 2
  • 1
Western Blotting (WB), Immunohistochemistry (IHC), Immunocytochemistry (ICC), Immunoprecipitation (IP)
  • Épitope

    • 33
    • 19
    • 16
    • 16
    • 9
    • 7
    • 6
    • 5
    • 3
    • 2
    • 2
    • 2
    • 1
    • 1
    AA 35-102

    Fonction

    Polyclonal Antibody to Ionized Calcium-binding Adapter Molecule 1 (IBA1)

    Specificité

    The antibody is a rabbit polyclonal antibody raised against AIF1. It has been selected for its ability to recognize AIF1 in immunohistochemical staining and western blotting.

    Purification

    Antigen-specific affinity chromatography followed by Protein A affinity chromatography

    Immunogène

    Recombinant Ionized Calcium-binding Adapter Molecule 1 (IBA1) corresdonding to Pro35~Ser102 with N-terminal His Tag

    Isotype

    IgG
  • Indications d'application

    Western blotting: 0.01-2 μg/mL,Immunohistochemistry: 5-20 μg/mL,Immunocytochemistry: 5-20 μg/mL,Optimal working dilutions must be determined by end user.

    Commentaires

    The thermal stability is described by the loss rate. The loss rate was determined by accelerated thermal degradation test, that is, incubate the protein at 37°C for 48h, and no obvious degradation and precipitation were observed. The loss rate is less than 5% within the expiration date under appropriate storage condition.

    Restrictions

    For Research Use only
  • Format

    Liquid

    Concentration

    0.5 mg/mL

    Buffer

    PBS, pH 7.4, containing 0.02 % Sodium azide, 50 % glycerol.

    Agent conservateur

    Sodium azide

    Précaution d'utilisation

    This product contains Sodium azide: a POISONOUS AND HAZARDOUS SUBSTANCE which should be handled by trained staff only.

    Stock

    4 °C,-20 °C

    Stockage commentaire

    Store at 4°C for frequent use. Stored at -20°C in a manual defrost freezer for two year without detectable loss of activity. Avoid repeated freeze-thaw cycles.

    Date de péremption

    24 months
  • Antigène

    Iba1 (IBA1) (Ionized Calcium-binding Adapter Molecule 1 (IBA1))

    Autre désignation

    IBA1

    Sujet

    AIF1, IRT1, Daintain, Protein G1, Allograft Inflammatory Factor 1

    UniProt

    O70200

    Pathways

    Smooth Muscle Cell Migration
Vous êtes ici:
Chat with us!