Tel:
+49 (0)241 95 163 153
Fax:
+49 (0)241 95 163 155
E-Mail:
orders@anticorps-enligne.fr

Metaxin 1 anticorps (AA 175-387)

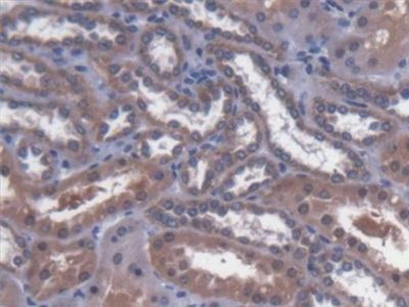
Cet anticorps anti-Metaxin 1 Polyclonal Lapin (ABIN7444631) détecte spécifiquement Metaxin 1 dans WB et IHC. L’anticorps est réactif avec des échantillons de Humain.
N° du produit ABIN7444631
310,62 €
Plus frais de livraison 40,00 € et TVA
Destination: France
Envoi sous 11 à 15 jours ouvrables

Aperçu rapide pour Metaxin 1 anticorps (AA 175-387) (ABIN7444631)

Antigène

Voir toutes Metaxin 1 (MTX1) Anticorps
Metaxin 1 (MTX1)

Reactivité

  • 9
  • 8
  • 5
  • 3
  • 2
  • 2
  • 2
  • 2
  • 2
  • 1
Humain

Hôte

  • 12
  • 2
  • 1
Lapin

Clonalité

  • 12
  • 3
Polyclonal

Conjugué

  • 15
Cet anticorp Metaxin 1 est non-conjugé

Application

  • 10
  • 6
  • 3
  • 2
  • 2
  • 2
Western Blotting (WB), Immunohistochemistry (IHC)
  • Épitope

    • 2
    • 1
    • 1
    • 1
    • 1
    • 1
    • 1
    AA 175-387

    Fonction

    Polyclonal Antibody to Metaxin 1 (MTX1)

    Specificité

    The antibody is a rabbit polyclonal antibody raised against MTX1. It has been selected for its ability to recognize MTX1 in immunohistochemical staining and western blotting.

     Réactivité croisée

    Rat

    Purification

    Antigen-specific affinity chromatography followed by Protein A affinity chromatography

    Immunogène

    Recombinant Metaxin 1 (MTX1) corresdonding to Val175~Leu387

    Isotype

    IgG
  • Indications d'application

    Western blotting: 0.01-2 μg/mL,Immunohistochemistry: 5-20 μg/mL,Optimal working dilutions must be determined by end user.

    Commentaires

    The thermal stability is described by the loss rate. The loss rate was determined by accelerated thermal degradation test, that is, incubate the protein at 37°C for 48h, and no obvious degradation and precipitation were observed. The loss rate is less than 5% within the expiration date under appropriate storage condition.

    Restrictions

    For Research Use only
  • Format

    Liquid

    Concentration

    0.5 mg/mL

    Buffer

    0.01M PBS, pH 7.4, containing 0.05 % Proclin-300, 50 % glycerol.

    Agent conservateur

    ProClin

    Précaution d'utilisation

    This product contains ProClin: a POISONOUS AND HAZARDOUS SUBSTANCE which should be handled by trained staff only.

    Stock

    4 °C,-20 °C

    Stockage commentaire

    Store at 4°C for frequent use. Stored at -20°C in a manual defrost freezer for two year without detectable loss of activity. Avoid repeated freeze-thaw cycles.

    Date de péremption

    24 months
  • Antigène

    Metaxin 1 (MTX1)

    Autre désignation

    MTX1

    Sujet

    MTXN, Mitochondrial outer membrane import complex protein 1

    UniProt

    Q13505

    Pathways

    Dicarboxylic Acid Transport
Vous êtes ici:
Chat with us!