Tel:
+49 (0)241 95 163 153
Fax:
+49 (0)241 95 163 155
E-Mail:
orders@anticorps-enligne.fr

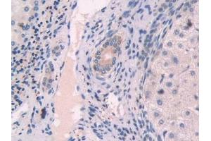
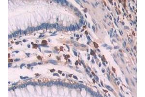
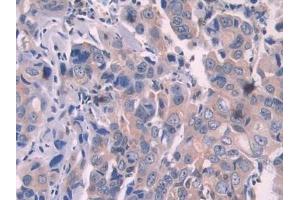
OAS1 anticorps (AA 74-165)

Cet anticorps anti-OAS1 Polyclonal Lapin (ABIN7435079) détecte spécifiquement OAS1 dans WB, IHC, IP et ICC. L’anticorps est réactif avec des échantillons de Humain.
N° du produit ABIN7435079
310,62 €
Plus frais de livraison 40,00 € et TVA
Destination: France
Envoi sous 11 à 15 jours ouvrables

Aperçu rapide pour OAS1 anticorps (AA 74-165) (ABIN7435079)

Antigène

Voir toutes OAS1 Anticorps
OAS1 (2',5'-Oligoadenylate Synthetase 1, 40/46kDa (OAS1))

Reactivité

  • 62
  • 37
  • 14
  • 4
  • 4
  • 4
  • 3
  • 3
  • 1
  • 1
  • 1
Humain

Hôte

  • 59
  • 5
  • 1
Lapin

Clonalité

  • 60
  • 5
Polyclonal

Conjugué

  • 34
  • 7
  • 4
  • 3
  • 1
  • 1
  • 1
  • 1
  • 1
  • 1
  • 1
  • 1
  • 1
  • 1
  • 1
  • 1
  • 1
  • 1
  • 1
  • 1
  • 1
Cet anticorp OAS1 est non-conjugé

Application

  • 39
  • 27
  • 18
  • 11
  • 6
  • 6
  • 5
  • 4
  • 2
  • 1
Western Blotting (WB), Immunohistochemistry (IHC), Immunoprecipitation (IP), Immunocytochemistry (ICC)
  • Épitope

    • 7
    • 5
    • 5
    • 4
    • 3
    • 2
    • 2
    • 1
    • 1
    • 1
    • 1
    • 1
    • 1
    • 1
    • 1
    • 1
    • 1
    AA 74-165

    Fonction

    Polyclonal Antibody to 2',5'-Oligoadenylate Synthetase 1 (OAS1)

    Specificité

    The antibody is a rabbit polyclonal antibody raised against OAS1. It has been selected for its ability to recognize OAS1 in immunohistochemical staining and western blotting.

     Réactivité croisée

    Porc

    Purification

    Antigen-specific affinity chromatography followed by Protein A affinity chromatography

    Immunogène

    Recombinant 2',5'-Oligoadenylate Synthetase 1 (OAS1) corresdonding to Ser74~Pro165 with N-terminal His Tag

    Isotype

    IgG
  • Indications d'application

    Western blotting: 0.5-5 μg/mL,Immunohistochemistry: 5-50 μg/mL,Immunocytochemistry: 5-50 μg/mL,Optimal working dilutions must be determined by end user.

    Commentaires

    The thermal stability is described by the loss rate. The loss rate was determined by accelerated thermal degradation test, that is, incubate the protein at 37°C for 48h, and no obvious degradation and precipitation were observed. The loss rate is less than 5% within the expiration date under appropriate storage condition.

    Restrictions

    For Research Use only
  • Format

    Liquid

    Concentration

    500 μg/mL

    Buffer

    0.01M PBS, pH 7.4, containing 0.05 % Proclin-300, 50 % glycerol.

    Agent conservateur

    ProClin

    Précaution d'utilisation

    This product contains ProClin: a POISONOUS AND HAZARDOUS SUBSTANCE which should be handled by trained staff only.

    Stock

    4 °C,-20 °C

    Stockage commentaire

    Store at 4°C for frequent use. Stored at -20°C in a manual defrost freezer for two year without detectable loss of activity. Avoid repeated freeze-thaw cycles.

    Date de péremption

    24 months
  • Antigène

    OAS1 (2',5'-Oligoadenylate Synthetase 1, 40/46kDa (OAS1))

    Autre désignation

    OAS1

    Sujet

    2,5OAS1, 25-OAS1, OAS1, IFI-4, OIAS, OIASI, E18/E16

    UniProt

    P00973

    Pathways

    Hepatitis C
Vous êtes ici:
Chat with us!