Tel:
+49 (0)241 95 163 153
Fax:
+49 (0)241 95 163 155
E-Mail:
orders@anticorps-enligne.fr

PTTG1 anticorps (AA 2-199)

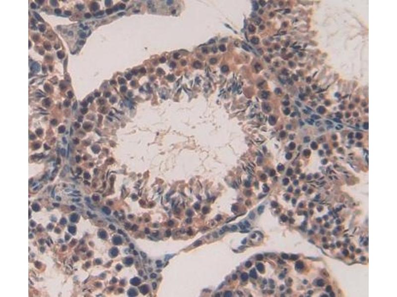
L’anticorps anti-PTTG1 Polyclonal Lapin est utilisé pour la détection de PTTG1 dans des échantillons de Souris. Il a été validé pour WB, IHC, IP et ICC.
N° du produit ABIN7444319
317,29 €
Plus frais de livraison 40,00 € et TVA
Destination: France
Envoi sous 11 à 15 jours ouvrables

Aperçu rapide pour PTTG1 anticorps (AA 2-199) (ABIN7444319)

Antigène

Voir toutes PTTG1 Anticorps
PTTG1 (Pituitary Tumor-Transforming 1 (PTTG1))

Reactivité

  • 59
  • 10
  • 10
  • 1
Souris

Hôte

  • 47
  • 11
  • 1
Lapin

Clonalité

  • 31
  • 28
Polyclonal

Conjugué

  • 32
  • 4
  • 3
  • 3
  • 3
  • 3
  • 3
  • 3
  • 2
  • 1
  • 1
  • 1
Cet anticorp PTTG1 est non-conjugé

Application

  • 33
  • 21
  • 20
  • 18
  • 13
  • 13
  • 12
  • 8
  • 2
  • 1
  • 1
Western Blotting (WB), Immunohistochemistry (IHC), Immunoprecipitation (IP), Immunocytochemistry (ICC)
  • Épitope

    • 7
    • 3
    • 2
    • 2
    • 2
    • 2
    • 2
    • 1
    • 1
    • 1
    • 1
    • 1
    • 1
    • 1
    • 1
    • 1
    • 1
    AA 2-199

    Fonction

    Polyclonal Antibody to Pituitary Tumor Transforming 1 (PTTG1)

    Specificité

    The antibody is a rabbit polyclonal antibody raised against PTTG1. It has been selected for its ability to recognize PTTG1 in immunohistochemical staining and western blotting.

     Réactivité croisée

    Humain, Rat

    Purification

    Antigen-specific affinity chromatography followed by Protein A affinity chromatography

    Immunogène

    Recombinant Pituitary Tumor Transforming 1 (PTTG1) corresdonding to Ala2~Ile199

    Isotype

    IgG
  • Indications d'application

    Western blotting: 0.5-2 μg/mL,Immunohistochemistry: 5-20 μg/mL,Immunocytochemistry: 5-20 μg/mL,Optimal working dilutions must be determined by end user.

    Commentaires

    The thermal stability is described by the loss rate. The loss rate was determined by accelerated thermal degradation test, that is, incubate the protein at 37°C for 48h, and no obvious degradation and precipitation were observed. The loss rate is less than 5% within the expiration date under appropriate storage condition.

    Restrictions

    For Research Use only
  • Format

    Liquid

    Concentration

    500 μg/mL

    Buffer

    PBS, pH 7.4, containing 0.02 % Sodium azide, 50 % glycerol.

    Agent conservateur

    Sodium azide

    Précaution d'utilisation

    This product contains Sodium azide: a POISONOUS AND HAZARDOUS SUBSTANCE which should be handled by trained staff only.

    Stock

    4 °C,-20 °C

    Stockage commentaire

    Store at 4°C for frequent use. Stored at -20°C in a manual defrost freezer for two year without detectable loss of activity. Avoid repeated freeze-thaw cycles.

    Date de péremption

    24 months
  • Antigène

    PTTG1 (Pituitary Tumor-Transforming 1 (PTTG1))

    Autre désignation

    PTTG1

    Sujet

    EAP1, HPTTG, PTTG, TUTR1, Securin, ESP1-Associated Protein 1, Tumor-Transforming Protein 1

    UniProt

    Q9CQJ7
Vous êtes ici:
Chat with us!