Tel:
+49 (0)241 95 163 153
Fax:
+49 (0)241 95 163 155
E-Mail:
orders@anticorps-enligne.fr

Sclerostin anticorps (AA 25-213)

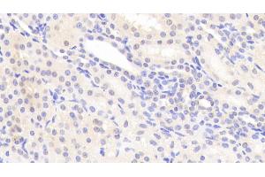
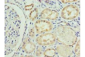
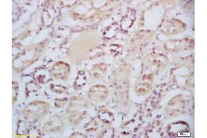
Il existe 1 publication pour ce produit. L’anticorps anti-Sclerostin Polyclonal Lapin est utilisé pour la détection de Sclerostin dans des échantillons de Humain. Il a été validé pour WB, IHC, IP et ICC.
N° du produit ABIN7435190
310,62 €
Plus frais de livraison 40,00 € et TVA
Destination: France
Envoi sous 11 à 15 jours ouvrables

Aperçu rapide pour Sclerostin anticorps (AA 25-213) (ABIN7435190)

Antigène

Voir toutes Sclerostin (SOST) Anticorps
Sclerostin (SOST)

Reactivité

  • 66
  • 53
  • 37
  • 16
  • 15
  • 15
  • 2
  • 1
  • 1
  • 1
  • 1
Humain

Hôte

  • 66
  • 4
  • 2
  • 2
  • 1
  • 1
Lapin

Clonalité

  • 67
  • 9
Polyclonal

Conjugué

  • 33
  • 6
  • 6
  • 5
  • 3
  • 3
  • 2
  • 2
  • 2
  • 2
  • 2
  • 2
  • 2
  • 2
  • 2
  • 1
  • 1
Cet anticorp Sclerostin est non-conjugé

Application

  • 70
  • 33
  • 24
  • 24
  • 13
  • 11
  • 5
  • 4
  • 3
  • 2
  • 2
  • 1
Western Blotting (WB), Immunohistochemistry (IHC), Immunoprecipitation (IP), Immunocytochemistry (ICC)
  • Épitope

    • 15
    • 10
    • 8
    • 7
    • 3
    • 3
    • 2
    • 2
    • 1
    • 1
    • 1
    • 1
    • 1
    • 1
    • 1
    • 1
    • 1
    AA 25-213

    Fonction

    Polyclonal Antibody to Sclerostin (SOST)

    Specificité

    The antibody is a rabbit polyclonal antibody raised against SOST. It has been selected for its ability to recognize SOST in immunohistochemical staining and western blotting.

    Purification

    Antigen-specific affinity chromatography followed by Protein A affinity chromatography

    Immunogène

    Recombinant Sclerostin (SOST) corresdonding to Gly25~Tyr213 with N-terminal His and GST Tag

    Isotype

    IgG
  • Indications d'application

    Western blottin:g: 0.01-2 μg/mL,Immunohistochemistry: 5-20 μg/mL,Immunocytochemistry: 5-20 μg/mL,Optimal working dilutions must be determined by end user.

    Commentaires

    The thermal stability is described by the loss rate. The loss rate was determined by accelerated thermal degradation test, that is, incubate the protein at 37°C for 48h, and no obvious degradation and precipitation were observed. The loss rate is less than 5% within the expiration date under appropriate storage condition.

    Restrictions

    For Research Use only
  • Format

    Liquid

    Concentration

    0.31 mg/mL

    Buffer

    0.01M PBS, pH 7.4, containing 0.05 % Proclin-300, 50 % glycerol.

    Agent conservateur

    ProClin

    Précaution d'utilisation

    This product contains ProClin: a POISONOUS AND HAZARDOUS SUBSTANCE which should be handled by trained staff only.

    Stock

    4 °C,-20 °C

    Stockage commentaire

    Store at 4°C for frequent use. Stored at -20°C in a manual defrost freezer for two year without detectable loss of activity. Avoid repeated freeze-thaw cycles.

    Date de péremption

    24 months
  • Sun, Zhang, Chen, Ji, Ma, Qiao, Wu, Zhou, Bu, Zhu, Zhang, Jiang, Liu, Li, Liu, Yang, Liu: "Targeting SOST using a small-molecule compound retards breast cancer bone metastasis." dans: Molecular cancer, Vol. 21, Issue 1, pp. 228, (2023) (PubMed).

  • Antigène

    Sclerostin (SOST)

    Autre désignation

    SOST

    Sujet

    VBCH, Sclerosteosis

    UniProt

    Q9BQB4
Vous êtes ici:
Chat with us!