Tel:
+49 (0)241 95 163 153
Fax:
+49 (0)241 95 163 155
E-Mail:
orders@anticorps-enligne.fr

CA5B anticorps (AA 63-225)

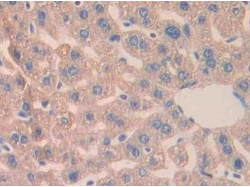
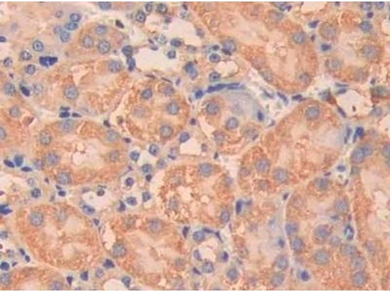
Cet anticorps anti-CA5B Polyclonal Lapin (ABIN7437326) détecte spécifiquement CA5B dans WB, IHC, ICC et IP. L’anticorps est réactif avec des échantillons de Souris.
N° du produit ABIN7437326
317,29 €
Plus frais de livraison 40,00 € et TVA
Destination: France
Envoi sous 11 à 15 jours ouvrables

Aperçu rapide pour CA5B anticorps (AA 63-225) (ABIN7437326)

Antigène

Voir toutes CA5B Anticorps
CA5B (Carbonic Anhydrase VB, Mitochondrial (CA5B))

Reactivité

  • 44
  • 23
  • 15
  • 2
  • 2
  • 2
  • 1
  • 1
  • 1
  • 1
Souris

Hôte

  • 48
  • 4
Lapin

Clonalité

  • 49
  • 3
Polyclonal

Conjugué

  • 31
  • 10
  • 4
  • 1
  • 1
  • 1
  • 1
  • 1
  • 1
  • 1
Cet anticorp CA5B est non-conjugé

Application

  • 38
  • 24
  • 18
  • 9
  • 9
  • 5
  • 4
  • 4
  • 3
Western Blotting (WB), Immunohistochemistry (IHC), Immunocytochemistry (ICC), Immunoprecipitation (IP)
  • Épitope

    • 6
    • 6
    • 4
    • 2
    • 2
    • 2
    • 2
    • 1
    • 1
    • 1
    • 1
    • 1
    • 1
    • 1
    • 1
    • 1
    • 1
    AA 63-225

    Fonction

    Polyclonal Antibody to Carbonic Anhydrase VB, Mitochondrial (CA5B)

    Specificité

    The antibody is a rabbit polyclonal antibody raised against CA5B. It has been selected for its ability to recognize CA5B in immunohistochemical staining and western blotting.

    Purification

    Antigen-specific affinity chromatography followed by Protein A affinity chromatography

    Immunogène

    Recombinant Carbonic Anhydrase VB, Mitochondrial (CA5B) corresdonding to Arg63~Pro225 (Accession # Q9QZA0)

    Isotype

    IgG
  • Indications d'application

    Western blotting: 0.5-2 μg/mL,Immunohistochemistry: 5-20 μg/mL,Immunocytochemistry: 5-20 μg/mL,Optimal working dilutions must be determined by end user.

    Commentaires

    The thermal stability is described by the loss rate. The loss rate was determined by accelerated thermal degradation test, that is, incubate the protein at 37°C for 48h, and no obvious degradation and precipitation were observed. The loss rate is less than 5% within the expiration date under appropriate storage condition.

    Restrictions

    For Research Use only
  • Format

    Liquid

    Concentration

    500 μg/mL

    Buffer

    PBS, pH 7.4, containing 0.02 % Sodium azide, 50 % glycerol.

    Agent conservateur

    Sodium azide

    Précaution d'utilisation

    This product contains Sodium azide: a POISONOUS AND HAZARDOUS SUBSTANCE which should be handled by trained staff only.

    Stock

    4 °C,-20 °C

    Stockage commentaire

    Store at 4°C for frequent use. Stored at -20°C in a manual defrost freezer for two year without detectable loss of activity. Avoid repeated freeze-thaw cycles.

    Date de péremption

    24 months
  • Antigène

    CA5B (Carbonic Anhydrase VB, Mitochondrial (CA5B))

    Autre désignation

    CA5B

    Sujet

    CA-VB, CAVB, Carbonate dehydratase VB

    UniProt

    Q9QZA0
Vous êtes ici:
Chat with us!