Tel:
+49 (0)241 95 163 153
Fax:
+49 (0)241 95 163 155
E-Mail:
orders@anticorps-enligne.fr

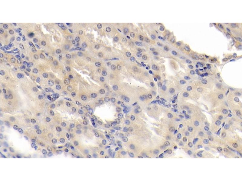
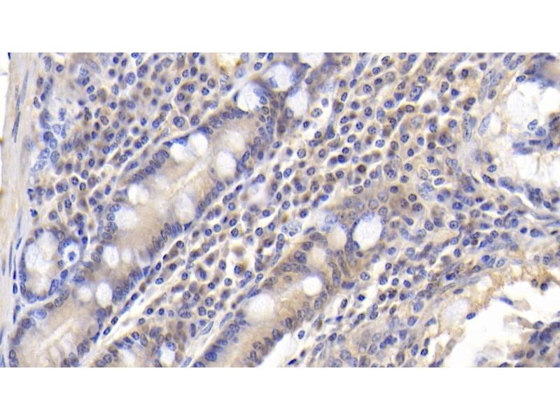
CDK2AP1 anticorps (AA 1-115)

Cet anticorps Lapin Polyclonal détecte spécifiquement CDK2AP1 dans WB, IHC, ICC et IP. Il présente une réactivité avec des échantillons de Humain.
N° du produit ABIN7445237
310,62 €
Plus frais de livraison 40,00 € et TVA
Destination: France
Envoi sous 11 à 15 jours ouvrables

Aperçu rapide pour CDK2AP1 anticorps (AA 1-115) (ABIN7445237)

Antigène

Voir toutes CDK2AP1 Anticorps
CDK2AP1 (Cyclin-Dependent Kinase 2 Associated Protein 1 (CDK2AP1))

Reactivité

  • 31
  • 10
  • 6
  • 3
  • 2
  • 2
  • 2
  • 2
  • 2
  • 1
  • 1
  • 1
  • 1
  • 1
  • 1
Humain

Hôte

  • 26
  • 5
Lapin

Clonalité

  • 29
  • 2
Polyclonal

Conjugué

  • 18
  • 3
  • 2
  • 2
  • 1
  • 1
  • 1
  • 1
  • 1
  • 1
Cet anticorp CDK2AP1 est non-conjugé

Application

  • 19
  • 14
  • 8
  • 5
  • 2
  • 2
  • 1
  • 1
  • 1
Western Blotting (WB), Immunohistochemistry (IHC), Immunocytochemistry (ICC), Immunoprecipitation (IP)
  • Épitope

    • 8
    • 3
    • 2
    • 1
    • 1
    • 1
    • 1
    AA 1-115

    Fonction

    Polyclonal Antibody to Cyclin Dependent Kinase 2 Associated Protein 1 (CDK2AP1)

    Specificité

    The antibody is a rabbit polyclonal antibody raised against CDK2AP1. It has been selected for its ability to recognize CDK2AP1 in immunohistochemical staining and western blotting.

     Réactivité croisée

    Souris, Porc, Rat

    Purification

    Antigen-specific affinity chromatography followed by Protein A affinity chromatography

    Immunogène

    Recombinant Cyclin Dependent Kinase 2 Associated Protein 1 (CDK2AP1) corresdonding to Met1~Ser115

    Isotype

    IgG
  • Indications d'application

    Western blotting: 0.5-2 μg/mL,Immunohistochemistry: 5-20 μg/mL,Immunocytochemistry: 5-20 μg/mL,Optimal working dilutions must be determined by end user.

    Commentaires

    The thermal stability is described by the loss rate. The loss rate was determined by accelerated thermal degradation test, that is, incubate the protein at 37°C for 48h, and no obvious degradation and precipitation were observed. The loss rate is less than 5% within the expiration date under appropriate storage condition.

    Restrictions

    For Research Use only
  • Format

    Liquid

    Concentration

    500 μg/mL

    Buffer

    PBS, pH 7.4, containing 0.02 % Sodium azide, 50 % glycerol.

    Agent conservateur

    Sodium azide

    Précaution d'utilisation

    This product contains Sodium azide: a POISONOUS AND HAZARDOUS SUBSTANCE which should be handled by trained staff only.

    Stock

    4 °C,-20 °C

    Stockage commentaire

    Store at 4°C for frequent use. Stored at -20°C in a manual defrost freezer for two year without detectable loss of activity. Avoid repeated freeze-thaw cycles.

    Date de péremption

    24 months
  • Antigène

    CDK2AP1 (Cyclin-Dependent Kinase 2 Associated Protein 1 (CDK2AP1))

    Autre désignation

    CDK2AP1

    Sujet

    DOC1, DORC1, ST19, Doc-1, p12DOC-1, CDKAP1, Deleted in oral cancer 1, Putative oral cancer suppressor

    UniProt

    O14519
Vous êtes ici:
Chat with us!