Tel:
+49 (0)241 95 163 153
Fax:
+49 (0)241 95 163 155
E-Mail:
orders@anticorps-enligne.fr

Peroxiredoxin 2 anticorps (AA 6-164)

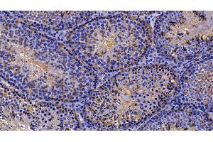
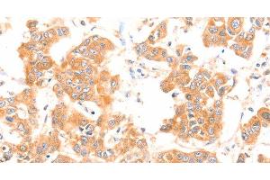
L’anticorps anti-Peroxiredoxin 2 Polyclonal Lapin est utilisé pour la détection de Peroxiredoxin 2 dans des échantillons de Souris. Il a été validé pour WB, IHC, IP et ICC.
N° du produit ABIN7437812
317,29 €
Plus frais de livraison 40,00 € et TVA
Destination: France
Envoi sous 11 à 15 jours ouvrables

Aperçu rapide pour Peroxiredoxin 2 anticorps (AA 6-164) (ABIN7437812)

Antigène

Voir toutes Peroxiredoxin 2 (PRDX2) Anticorps
Peroxiredoxin 2 (PRDX2)

Reactivité

  • 73
  • 44
  • 42
  • 2
  • 2
  • 2
  • 2
  • 1
  • 1
  • 1
  • 1
  • 1
  • 1
  • 1
  • 1
Souris

Hôte

  • 66
  • 10
  • 1
Lapin

Clonalité

  • 39
  • 38
Polyclonal

Conjugué

  • 39
  • 6
  • 4
  • 4
  • 4
  • 4
  • 4
  • 4
  • 3
  • 2
  • 2
  • 1
Cet anticorp Peroxiredoxin 2 est non-conjugé

Application

  • 55
  • 36
  • 21
  • 18
  • 18
  • 15
  • 8
  • 6
  • 2
  • 2
  • 1
  • 1
  • 1
  • 1
Western Blotting (WB), Immunohistochemistry (IHC), Immunoprecipitation (IP), Immunocytochemistry (ICC)
  • Épitope

    • 6
    • 5
    • 4
    • 3
    • 3
    • 1
    • 1
    • 1
    • 1
    • 1
    • 1
    • 1
    • 1
    AA 6-164

    Fonction

    Polyclonal Antibody to Peroxiredoxin 2 (PRDX2)

    Specificité

    The antibody is a rabbit polyclonal antibody raised against PRDX2. It has been selected for its ability to recognize PRDX2 in immunohistochemical staining and western blotting.

     Réactivité croisée

    Porc, Rat

    Purification

    Antigen-specific affinity chromatography followed by Protein A affinity chromatography

    Immunogène

    Recombinant Peroxiredoxin 2 (PRDX2) corresdonding to Ala6~Tyr164 with N-terminal His Tag

    Isotype

    IgG
  • Indications d'application

    Western blotting: 0.5-2 μg/mL,Immunohistochemistry: 5-20 μg/mL,Immunocytochemistry: 5-20 μg/mL,Optimal working dilutions must be determined by end user.

    Commentaires

    The thermal stability is described by the loss rate. The loss rate was determined by accelerated thermal degradation test, that is, incubate the protein at 37°C for 48h, and no obvious degradation and precipitation were observed. The loss rate is less than 5% within the expiration date under appropriate storage condition.

    Restrictions

    For Research Use only
  • Format

    Liquid

    Concentration

    500 μg/mL

    Buffer

    0.01M PBS, pH 7.4, containing 0.05 % Proclin-300, 50 % glycerol.

    Agent conservateur

    ProClin

    Précaution d'utilisation

    This product contains ProClin: a POISONOUS AND HAZARDOUS SUBSTANCE which should be handled by trained staff only.

    Stock

    4 °C,-20 °C

    Stockage commentaire

    Store at 4°C for frequent use. Stored at -20°C in a manual defrost freezer for two year without detectable loss of activity. Avoid repeated freeze-thaw cycles.

    Date de péremption

    24 months
  • Antigène

    Peroxiredoxin 2 (PRDX2)

    Autre désignation

    PRDX2

    Sujet

    PRP, NKEFB, PRXII, TDPX1, TSA, Thioredoxin-Dependent Peroxide Reductase 1, Thiol-Specific Antioxidant 1, Natural Killer-Enhancing Factor B, Thioredoxin Peroxidase 1, Torin

    UniProt

    Q61171
Vous êtes ici:
Chat with us!