Tel:
+49 (0)241 95 163 153
Fax:
+49 (0)241 95 163 155
E-Mail:
orders@anticorps-enligne.fr

PDHX anticorps (AA 222-471)

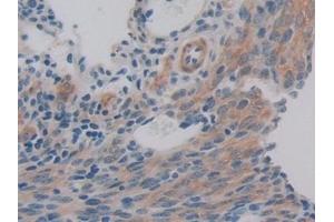
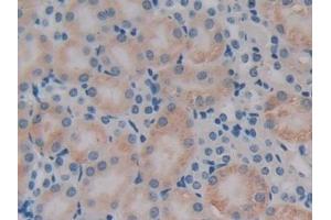
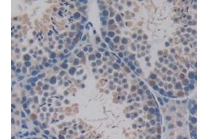
L’anticorps anti-PDHX Polyclonal Lapin est utilisé pour la détection de PDHX dans des échantillons de Souris. Il a été validé pour WB, IHC, IP et ICC.
N° du produit ABIN7443338
317,29 €
Plus frais de livraison 40,00 € et TVA
Destination: France
Envoi sous 11 à 15 jours ouvrables

Aperçu rapide pour PDHX anticorps (AA 222-471) (ABIN7443338)

Antigène

Voir toutes PDHX Anticorps
PDHX (Pyruvate Dehydrogenase Complex, Component X (PDHX))

Reactivité

  • 24
  • 20
  • 18
Souris

Hôte

  • 35
  • 3
  • 1
  • 1
Lapin

Clonalité

  • 39
  • 1
Polyclonal

Conjugué

  • 19
  • 2
  • 1
  • 1
  • 1
  • 1
  • 1
  • 1
  • 1
  • 1
  • 1
  • 1
  • 1
  • 1
  • 1
  • 1
  • 1
  • 1
  • 1
  • 1
  • 1
Cet anticorp PDHX est non-conjugé

Application

  • 32
  • 13
  • 13
  • 9
  • 7
  • 6
  • 5
  • 3
  • 3
  • 1
  • 1
Western Blotting (WB), Immunohistochemistry (IHC), Immunoprecipitation (IP), Immunocytochemistry (ICC)
  • Épitope

    • 15
    • 3
    • 2
    • 2
    • 2
    • 1
    • 1
    • 1
    • 1
    • 1
    AA 222-471

    Fonction

    Polyclonal Antibody to Pyruvate Dehydrogenase Complex Component X (PDHX)

    Specificité

    The antibody is a rabbit polyclonal antibody raised against PDHX. It has been selected for its ability to recognize PDHX in immunohistochemical staining and western blotting.

    Purification

    Antigen-specific affinity chromatography followed by Protein A affinity chromatography

    Immunogène

    Recombinant Pyruvate Dehydrogenase Complex Component X (PDHX) corresdonding to Leu222~Met471 (Accession # Q8BKZ9)

    Isotype

    IgG
  • Indications d'application

    Western blotting: 0.5-2 μg/mL,1:300-1200,Immunohistochemistry: 5-20 μg/mL,1:30-120,Immunocytochemistry: 5-20 μg/mL,1:30-120,Optimal working dilutions must be determined by end user.

    Commentaires

    The thermal stability is described by the loss rate. The loss rate was determined by accelerated thermal degradation test, that is, incubate the protein at 37°C for 48h, and no obvious degradation and precipitation were observed. The loss rate is less than 5% within the expiration date under appropriate storage condition.

    Restrictions

    For Research Use only
  • Format

    Liquid

    Concentration

    500 μg/mL

    Buffer

    0.01M PBS, pH 7.4, containing 0.05 % Proclin-300, 50 % glycerol.

    Agent conservateur

    ProClin

    Précaution d'utilisation

    This product contains ProClin: a POISONOUS AND HAZARDOUS SUBSTANCE which should be handled by trained staff only.

    Stock

    4 °C,-20 °C

    Stockage commentaire

    Store at 4°C for frequent use. Stored at -20°C in a manual defrost freezer for two year without detectable loss of activity. Avoid repeated freeze-thaw cycles.

    Date de péremption

    24 months
  • Antigène

    PDHX (Pyruvate Dehydrogenase Complex, Component X (PDHX))

    Autre désignation

    PDHX

    Sujet

    E3BP, proX, PDX1, OPDX, DLDBP, E3-binding protein, Dihydrolipoamide dehydrogenase-binding protein of pyruvate dehydrogenase complex

    UniProt

    Q8BKZ9
Vous êtes ici:
Chat with us!