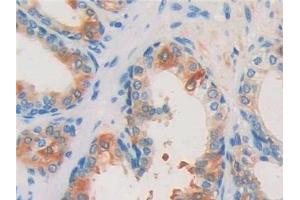
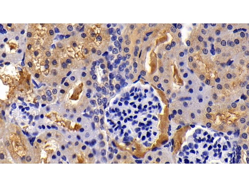
ISLR anticorps (AA 19-428)
Aperçu rapide pour ISLR anticorps (AA 19-428) (ABIN7441502)
Antigène
Voir toutes ISLR AnticorpsReactivité
Hôte
Clonalité
Conjugué
Application
-
-
Épitope
- AA 19-428
-
Fonction
- Polyclonal Antibody to Immunoglobulin Superfamily Containing Leucine Rich Repeat Protein (ISLR)
-
Specificité
- The antibody is a rabbit polyclonal antibody raised against ISLR. It has been selected for its ability to recognize ISLR in immunohistochemical staining and western blotting.
-
Réactivité croisée
- Souris, Rat
-
Purification
- Antigen-specific affinity chromatography followed by Protein A affinity chromatography
-
Immunogène
- Recombinant Immunoglobulin Superfamily Containing Leucine Rich Repeat Protein (ISLR) corresdonding to Cys19~Phe428 with N-terminal His Tag
-
Isotype
- IgG
-
-
-
-
Indications d'application
- Western blotting: 0.01-2 μg/mL,Immunohistochemistry: 5-20 μg/mL,Immunocytochemistry: 5-20 μg/mL,Optimal working dilutions must be determined by end user.
-
Commentaires
-
The thermal stability is described by the loss rate. The loss rate was determined by accelerated thermal degradation test, that is, incubate the protein at 37°C for 48h, and no obvious degradation and precipitation were observed. The loss rate is less than 5% within the expiration date under appropriate storage condition.
-
Restrictions
- For Research Use only
-
-
-
Format
- Liquid
-
Concentration
- 0.5 mg/mL
-
Buffer
- 0.01M PBS, pH 7.4, containing 0.05 % Proclin-300, 50 % glycerol.
-
Agent conservateur
- ProClin
-
Précaution d'utilisation
- This product contains ProClin: a POISONOUS AND HAZARDOUS SUBSTANCE which should be handled by trained staff only.
-
Stock
- 4 °C,-20 °C
-
Stockage commentaire
- Store at 4°C for frequent use. Stored at -20°C in a manual defrost freezer for two year without detectable loss of activity. Avoid repeated freeze-thaw cycles.
-
Date de péremption
- 24 months
-
-
- ISLR (Immunoglobulin Superfamily Containing Leucine Rich Repeat Protein (ISLR))
-
Autre désignation
- ISLR
-
UniProt
- O14498
Antigène
-