Tel:
+49 (0)241 95 163 153
Fax:
+49 (0)241 95 163 155
E-Mail:
orders@anticorps-enligne.fr

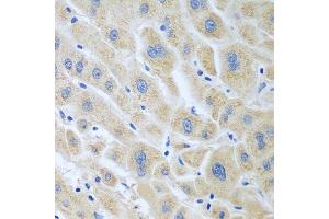
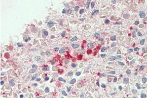
BLVRB anticorps (AA 2-206)

Cet anticorps anti-BLVRB Polyclonal Lapin (ABIN7441571) détecte spécifiquement BLVRB dans WB, IHC, IF et ICC. L’anticorps est réactif avec des échantillons de Humain.
N° du produit ABIN7441571
310,62 €
Plus frais de livraison 40,00 € et TVA
Destination: France
Envoi sous 11 à 15 jours ouvrables

Aperçu rapide pour BLVRB anticorps (AA 2-206) (ABIN7441571)

Antigène

Voir toutes BLVRB Anticorps
BLVRB (Flavin Reductase (BLVRB))

Reactivité

  • 39
  • 18
  • 8
  • 4
  • 2
  • 2
  • 2
  • 2
  • 1
  • 1
Humain

Hôte

  • 35
  • 5
  • 2
  • 2
Lapin

Clonalité

  • 40
  • 4
Polyclonal

Conjugué

  • 26
  • 4
  • 3
  • 3
  • 1
  • 1
  • 1
  • 1
  • 1
  • 1
  • 1
  • 1
Cet anticorp BLVRB est non-conjugé

Application

  • 29
  • 21
  • 7
  • 3
  • 2
  • 1
  • 1
  • 1
Western Blotting (WB), Immunohistochemistry (IHC), Immunofluorescence (IF), Immunocytochemistry (ICC)
  • Épitope

    • 7
    • 6
    • 4
    • 4
    • 2
    • 2
    • 1
    • 1
    • 1
    • 1
    • 1
    • 1
    AA 2-206

    Fonction

    Polyclonal Antibody to Biliverdin Reductase B (BLVRB)

    Specificité

    The antibody is a rabbit polyclonal antibody raised against BLVRB. It has been selected for its ability to recognize BLVRB in immunohistochemical staining and western blotting.

     Réactivité croisée

    Rat

    Purification

    Antigen-specific affinity chromatography followed by Protein A affinity chromatography

    Immunogène

    Recombinant Biliverdin Reductase B (BLVRB) corresdonding to Ala2~Gln206 with N-terminal His Tag

    Isotype

    IgG
  • Indications d'application

    Western blotting: 0.01-2 μg/mL,Immunohistochemistry: 5-30 μg/mL,Immunofluorescence:5-30 μg/mL,Optimal working dilutions must be determined by end user.

    Commentaires

    The thermal stability is described by the loss rate. The loss rate was determined by accelerated thermal degradation test, that is, incubate the protein at 37°C for 48h, and no obvious degradation and precipitation were observed. The loss rate is less than 5% within the expiration date under appropriate storage condition.

    Restrictions

    For Research Use only
  • Format

    Liquid

    Concentration

    0.5 mg/mL

    Buffer

    0.01M PBS, pH 7.4, containing 0.05 % Proclin-300, 50 % glycerol.

    Agent conservateur

    ProClin

    Précaution d'utilisation

    This product contains ProClin: a POISONOUS AND HAZARDOUS SUBSTANCE which should be handled by trained staff only.

    Stock

    4 °C,-20 °C

    Stockage commentaire

    Store at 4°C for frequent use. Stored at -20°C in a manual defrost freezer for two year without detectable loss of activity. Avoid repeated freeze-thaw cycles.

    Date de péremption

    24 months
  • Antigène

    BLVRB (Flavin Reductase (BLVRB))

    Autre désignation

    BLVRB

    Sujet

    FLR, SDR43U1, Flavin Reductase,NADPH, Short Chain Dehydrogenase/Reductase Family 43U,Member 1, Biliverdin-IX beta-reductase, Green heme-binding protein

    UniProt

    P30043
Vous êtes ici:
Chat with us!