Tel:
+49 (0)241 95 163 153
Fax:
+49 (0)241 95 163 155
E-Mail:
orders@anticorps-enligne.fr

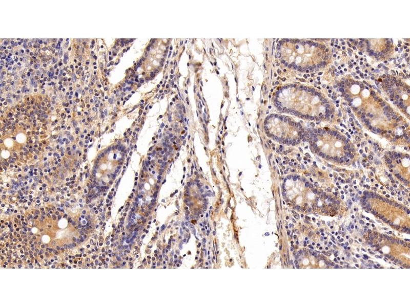
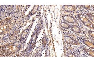
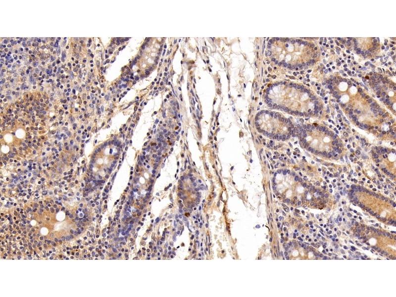
CLRN1 Antisense RNA 1 (CLRN1-AS1) (AA 2-157) anticorps

Cet anticorps Lapin Polyclonal détecte spécifiquement CLRN1 Antisense RNA 1 dans ICC, IHC, IP et WB. Il présente une réactivité avec des échantillons de Humain.
N° du produit ABIN7430072
334,46 €
Plus frais de livraison 40,00 € et TVA
Destination: France
Envoi sous 11 à 15 jours ouvrables

Aperçu rapide pour CLRN1 Antisense RNA 1 (CLRN1-AS1) (AA 2-157) anticorps (ABIN7430072)

Antigène

CLRN1 Antisense RNA 1 (CLRN1-AS1)

Reactivité

  • 1
  • 1
Humain

Hôte

  • 1
  • 1
Lapin

Clonalité

  • 1
  • 1
Polyclonal

Conjugué

  • 2
Inconjugué

Application

Immunocytochemistry (ICC), Immunohistochemistry (IHC), Immunoprecipitation (IP), Western Blotting (WB)
  • Épitope

    AA 2-157

    Fonction

    Polyclonal Antibody to Ubiquitin Cross Reactive Protein (UCRP)

    Specificité

    The antibody is a rabbit polyclonal antibody raised against UCRP. It has been selected for its ability to recognize UCRP in immunohistochemical staining and western blotting.

     Réactivité croisée

    Porc

    Purification

    Antigen-specific affinity chromatography followed by Protein A affinity chromatography

    Immunogène

    Recombinant Ubiquitin Cross Reactive Protein (UCRP) corresdonding to Gly2~Gly157 with N-terminal His Tag

    Isotype

    IgG
  • Indications d'application

    Western blotting: 0.01-3 μg/mL,Immunohistochemistry: 5-30 μg/mL,Immunocytochemistry: 5-30 μg/mL,Optimal working dilutions must be determined by end user.

    Commentaires

    The thermal stability is described by the loss rate. The loss rate was determined by accelerated thermal degradation test, that is, incubate the protein at 37°C for 48h, and no obvious degradation and precipitation were observed. The loss rate is less than 5% within the expiration date under appropriate storage condition.

    Restrictions

    For Research Use only
  • Format

    Liquid

    Concentration

    0.45 mg/mL

    Buffer

    0.01M PBS, pH 7.4, containing 0.05 % Proclin-300, 50 % glycerol.

    Agent conservateur

    ProClin

    Précaution d'utilisation

    This product contains ProClin: a POISONOUS AND HAZARDOUS SUBSTANCE which should be handled by trained staff only.

    Stock

    4 °C,-20 °C

    Stockage commentaire

    Store at 4°C for frequent use. Stored at -20°C in a manual defrost freezer for two year without detectable loss of activity. Avoid repeated freeze-thaw cycles.

    Date de péremption

    24 months
  • Antigène

    CLRN1 Antisense RNA 1 (CLRN1-AS1)

    Autre désignation

    UCRP

    Sujet

    G1P2, IFI15, ISG15, Interferon Alpha-Inducible Protein clone IFI-15K, Interferon Induced Protein 15, Interferon-induced 17 kDa protein

    UniProt

    P05161
Vous êtes ici:
Chat with us!