Tel:
+49 (0)241 95 163 153
Fax:
+49 (0)241 95 163 155
E-Mail:
orders@anticorps-enligne.fr

HIST2H3A anticorps (AA 1-136)

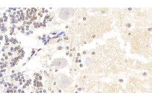
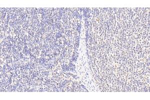
L’anticorps anti-HIST2H3A Polyclonal Lapin est utilisé pour la détection de HIST2H3A dans des échantillons de Humain. Il a été validé pour WB et IHC.
N° du produit ABIN7439000
333,51 €
Plus frais de livraison 40,00 € et TVA
Destination: France
Envoi sous 11 à 15 jours ouvrables

Aperçu rapide pour HIST2H3A anticorps (AA 1-136) (ABIN7439000)

Antigène

Voir toutes HIST2H3A Anticorps
HIST2H3A (Histone Cluster 2, H3a (HIST2H3A))

Reactivité

  • 13
  • 4
  • 2
  • 1
Humain

Hôte

  • 17
  • 1
Lapin

Clonalité

  • 17
  • 1
Polyclonal

Conjugué

  • 10
  • 2
  • 2
  • 2
  • 1
  • 1
Cet anticorp HIST2H3A est non-conjugé

Application

  • 15
  • 10
  • 6
  • 4
  • 4
  • 1
  • 1
  • 1
Western Blotting (WB), Immunohistochemistry (IHC)
  • Épitope

    • 11
    • 3
    • 2
    • 1
    AA 1-136

    Fonction

    Polyclonal Antibody to Histone Cluster 2, H3a (HIST2H3A)

    Specificité

    The antibody is a rabbit polyclonal antibody raised against HIST2H3A. It has been selected for its ability to recognize HIST2H3A in immunohistochemical staining and western blotting.

     Réactivité croisée

    Rat

    Purification

    Antigen-specific affinity chromatography followed by Protein A affinity chromatography

    Immunogène

    Recombinant Histone Cluster 2, H3a (HIST2H3A) corresdonding to Met1~Ala136 (Accession # Q71DI3)

    Isotype

    IgG
  • Indications d'application

    Western blotting: 0.01-2 μg/mL,Immunohistochemistry: 5-20 μg/mL,Optimal working dilutions must be determined by end user.

    Commentaires

    The thermal stability is described by the loss rate. The loss rate was determined by accelerated thermal degradation test, that is, incubate the protein at 37°C for 48h, and no obvious degradation and precipitation were observed. The loss rate is less than 5% within the expiration date under appropriate storage condition.

    Restrictions

    For Research Use only
  • Format

    Liquid

    Concentration

    0.5 mg/mL

    Buffer

    0.01M PBS, pH 7.4, containing 0.05 % Proclin-300, 50 % glycerol.

    Agent conservateur

    ProClin

    Précaution d'utilisation

    This product contains ProClin: a POISONOUS AND HAZARDOUS SUBSTANCE which should be handled by trained staff only.

    Stock

    4 °C,-20 °C

    Stockage commentaire

    Store at 4°C for frequent use. Stored at -20°C in a manual defrost freezer for two year without detectable loss of activity. Avoid repeated freeze-thaw cycles.

    Date de péremption

    24 months
  • Antigène

    HIST2H3A (Histone Cluster 2, H3a (HIST2H3A))

    Autre désignation

    HIST2H3A

    Sujet

    H3/n, H3/o, HIST2H3D, HIST2H3C

    UniProt

    Q71DI3
Vous êtes ici:
Chat with us!