ELP2 anticorps
Aperçu rapide pour ELP2 anticorps (ABIN7236188)
Antigène
Voir toutes ELP2 AnticorpsReactivité
Hôte
Clonalité
Conjugué
Application
-
-
Attributs du produit
- Polyclonal Antibody
-
Purification
- Affinity purification
-
Immunogène
- Recombinant protein of human ELP2
-
Isotype
- IgG
-
-
-
-
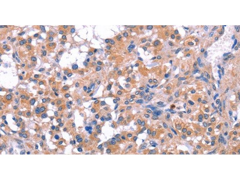
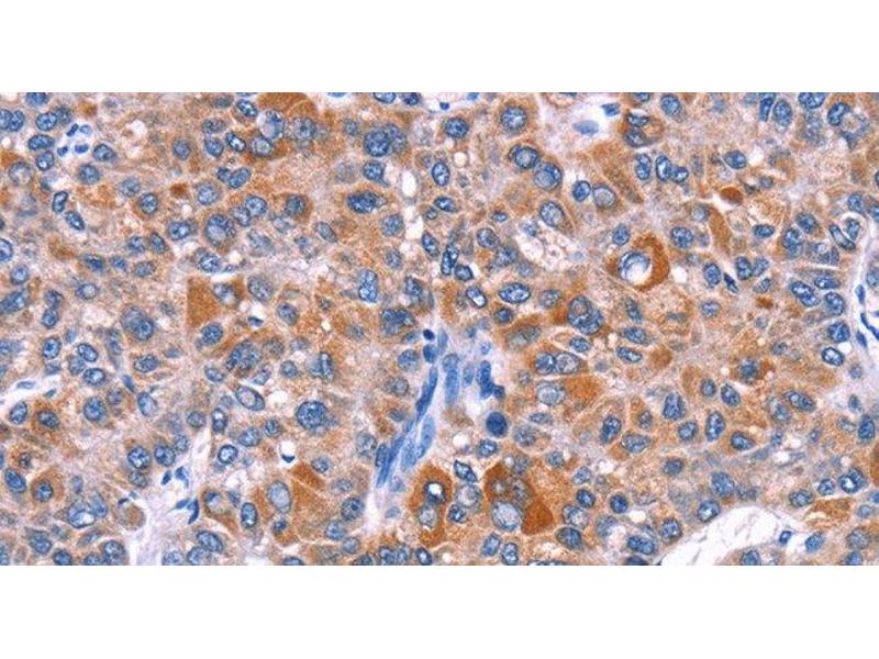
Indications d'application
- IHC 1:50-1:200
-
Restrictions
- For Research Use only
-
-
-
Format
- Liquid
-
Concentration
- 0.4 mg/mL
-
Buffer
- PBS with 0.05 % sodium azide and 50 % glycerol, PH7.4
-
Agent conservateur
- Sodium azide
-
Précaution d'utilisation
- This product contains Sodium azide: a POISONOUS AND HAZARDOUS SUBSTANCE which should be handled by trained staff only.
-
Stock
- -20 °C
-
Stockage commentaire
- Store at -20°C. Avoid freeze / thaw cycles.
-
-
- ELP2 (Elongator Acetyltransferase Complex Subunit 2 (ELP2))
-
Autre désignation
- ELP2
-
Sujet
- One member of the STAT family, Stat3, participates in a wide range of biological processes including nephrogenesis, gliogenesis, hepatogenesis, T cell proliferation, inflammation and oncogenesis. Many of these responses are triggered by the IL-6 family of cytokines, which transduce their vital signals through a common gp130 receptor chain . A novel Stat3-Interacting Protein, StIP1, contains 12 WD40 repeats, which mediate protein-protein interactions . StIP1 exhibits an affinity for members of the JNK family and may play a specific role in regulating Stat3 activation. Overexpression of StIP1 blocks Stat3 activation, nuclear translocation and Stat3-dependent induction of a reporter gene, suggesting that StIP1 regulates the ligand-dependent activation of Stat3, probably by serving as a scaffold protein that promotes the interaction between JNK and the Stat3 substrate.
-
UniProt
- Q6IA86
-
Pathways
- Stem Cell Maintenance, Positive Regulation of Endopeptidase Activity, Protein targeting to Nucleus
Antigène
-