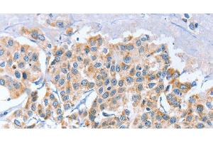
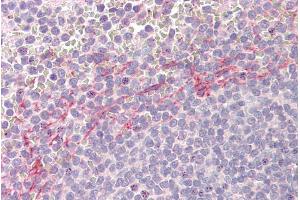
L’anticorps anti-APOBEC3D Polyclonal Lapin est utilisé pour la détection de APOBEC3D dans des échantillons de Humain. Il a été validé pour WB, ELISA et IHC.
APOBEC3D
Reactivité: Humain
WB
Hôte: Lapin
Polyclonal
unconjugated
Indications d'application
WB 1:500-1:2000, IHC 1:50-1:200
Restrictions
For Research Use only
Format
Liquid
Concentration
0.9 mg/mL
Buffer
PBS with 0.05 % sodium azide and 50 % glycerol, PH7.4
Agent conservateur
Sodium azide
Précaution d'utilisation
This product contains Sodium azide: a POISONOUS AND HAZARDOUS SUBSTANCE which should be handled by trained staff only.
Stock
-20 °C
Stockage commentaire
Store at -20°C. Avoid freeze / thaw cycles.
Antigène
APOBEC3D
(Apolipoprotein B mRNA Editing Enzyme, Catalytic Polypeptide-Like 3D (APOBEC3D))
Autre désignation
APOBEC3D
Sujet
This gene is a member of the cytidine deaminase gene family. It is one of a group of related genes found in a cluster, thought to result from gene duplication, on chromosome 22. Members of the cluster encode proteins that are structurally and functionally related to the C to U RNA-editing cytidine deaminase APOBEC1 and inhibit retroviruses, such as HIV, by deaminating cytosine residues in nascent retroviral cDNA.