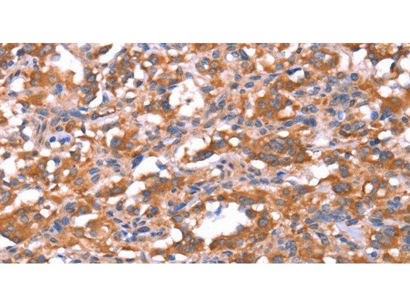
Cet anticorps anti-FAM13B Polyclonal Lapin (ABIN7243301) détecte spécifiquement FAM13B dans ELISA et IHC.
L’anticorps est réactif avec des échantillons de Humain et Souris.
FAM13B
Reactivité: Humain
WB, IF (cc), IF (p)
Hôte: Lapin
Polyclonal
Cy3
Indications d'application
IHC 1:50-1:200
Restrictions
For Research Use only
Format
Liquid
Concentration
0.4 mg/mL
Buffer
PBS with 0.05 % sodium azide and 50 % glycerol, PH7.4
Agent conservateur
Sodium azide
Précaution d'utilisation
This product contains Sodium azide: a POISONOUS AND HAZARDOUS SUBSTANCE which should be handled by trained staff only.
Stock
-20 °C
Stockage commentaire
Store at -20°C. Avoid freeze / thaw cycles.
Antigène
FAM13B
(Family with Sequence Similarity 13, Member B (FAM13B))
Autre désignation
FAM13B
Sujet
FAM13B is a 915 amino acid protein that is encoded by a gene that maps to human chromosome 5. With 181 million base pairs encoding around 1,000 genes, chromosome 5 is about 6 % of human genomic DNA. It is associated with Cockayne syndrome through the ERCC8 gene and familial adenomatous polyposis through the adenomatous polyposis coli (APC) tumor suppressor gene. Treacher Collins syndrome is also chromosome 5 associated and is caused by insertions or deletions within the TCOF1 gene. Deletion of the p arm of chromosome 5 leads to Cri du chat syndrome. Deletion of 5q or chromosome 5 altogether is common in therapy-related acute myelogenous leukemias and myelodysplastic syndrome.