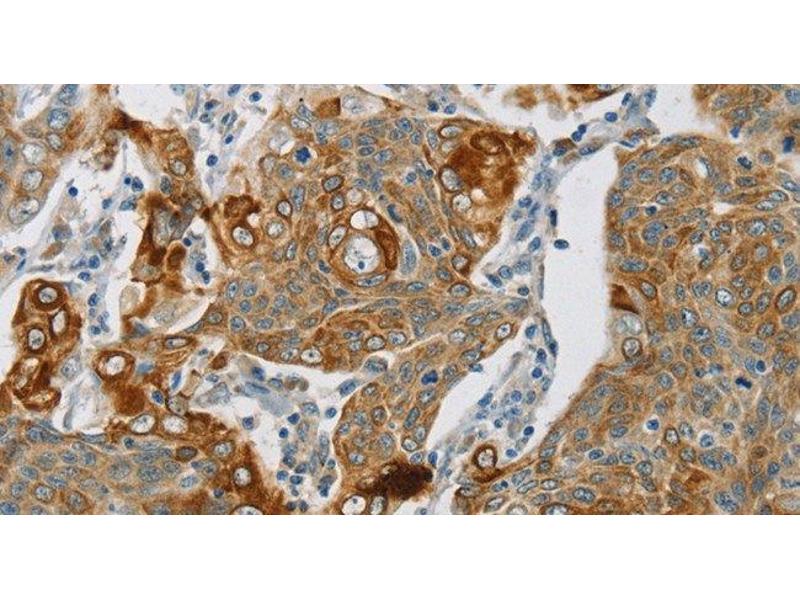
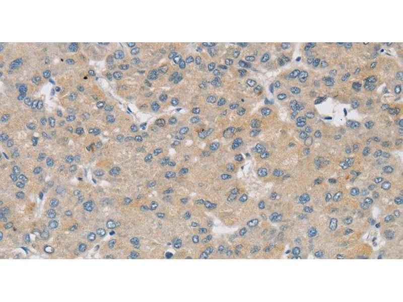
Cet anticorps anti-SMOC2 Polyclonal Lapin (ABIN7243862) détecte spécifiquement SMOC2 dans WB, ELISA et IHC.
L’anticorps est réactif avec des échantillons de Humain et Souris.
SMOC2
Reactivité: Humain
WB, ELISA
Hôte: Lapin
Polyclonal
APC
Indications d'application
WB 1:200-1:1000, IHC 1:25-1:100
Restrictions
For Research Use only
Format
Liquid
Concentration
0.5 mg/mL
Buffer
PBS with 0.05 % sodium azide and 50 % glycerol, PH7.4
Agent conservateur
Sodium azide
Précaution d'utilisation
This product contains Sodium azide: a POISONOUS AND HAZARDOUS SUBSTANCE which should be handled by trained staff only.
Stock
-20 °C
Stockage commentaire
Store at -20°C. Avoid freeze / thaw cycles.
Antigène
SMOC2
(SPARC Related Modular Calcium Binding 2 (SMOC2))
Autre désignation
SMOC2
Sujet
This gene encodes a member of the SPARC family (secreted protein acidic and rich in cysteine/osteonectin/BM-40), which are highly expressed during embryogenesis and wound healing. The gene product is a matricellular protein which promotes matrix assembly and can stimulate endothelial cell proliferation and migration, as well as angiogenic activity. Associated with pulmonary function, this secretory gene product contains a Kazal domain, two thymoglobulin type-1 domains, and two EF-hand calcium-binding domains.