ANAPC15 anticorps
Aperçu rapide pour ANAPC15 anticorps (ABIN7244576)
Antigène
Voir toutes ANAPC15 AnticorpsReactivité
Hôte
Clonalité
Conjugué
Application
-
-
Attributs du produit
- Polyclonal Antibody
-
Purification
- Antigen affinity purification
-
Immunogène
- Synthetic peptide of human ANAPC15
-
Isotype
- IgG
-
-
-
-
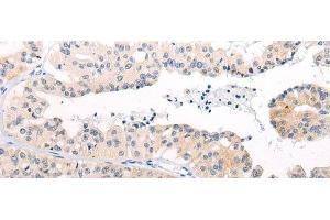
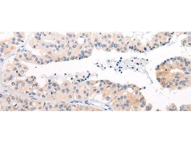
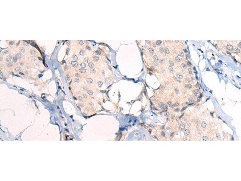
Indications d'application
- IHC 1:30-1:150, ELISA 1:5000-1:10000
-
Restrictions
- For Research Use only
-
-
-
Format
- Liquid
-
Concentration
- 0.5 mg/mL
-
Buffer
- PBS with 0.05 % Sodium azide and 40 % Glycerol, pH 7.4
-
Agent conservateur
- Sodium azide
-
Précaution d'utilisation
- This product contains Sodium azide: a POISONOUS AND HAZARDOUS SUBSTANCE which should be handled by trained staff only.
-
Stock
- -20 °C
-
Stockage commentaire
- Store at -20°C. Avoid freeze / thaw cycles.
-
-
- ANAPC15 (Anaphase Promoting Complex Subunit 15 (ANAPC15))
-
Autre désignation
- ANAPC15
-
Sujet
- ANAPC15 is a component of the anaphase promoting complex/cyclosome (APC/C), a cell cycle-regulated E3 ubiquitin ligase that controls progression through mitosis and the G1 phase of the cell cycle. In the complex, it plays a role in the release of the mitotic checkpoint complex (MCC) from the APC/C: not required for APC/C activity itself, but promotes the turnover of CDC20 and MCC on the APC/C, thereby participating to the responsiveness of the spindle assembly checkpoint. It is also required for degradation of CDC20.
-
UniProt
- P60006
Antigène
-