Tel:
+49 (0)241 95 163 153
Fax:
+49 (0)241 95 163 155
E-Mail:
orders@anticorps-enligne.fr

C16orf45 anticorps

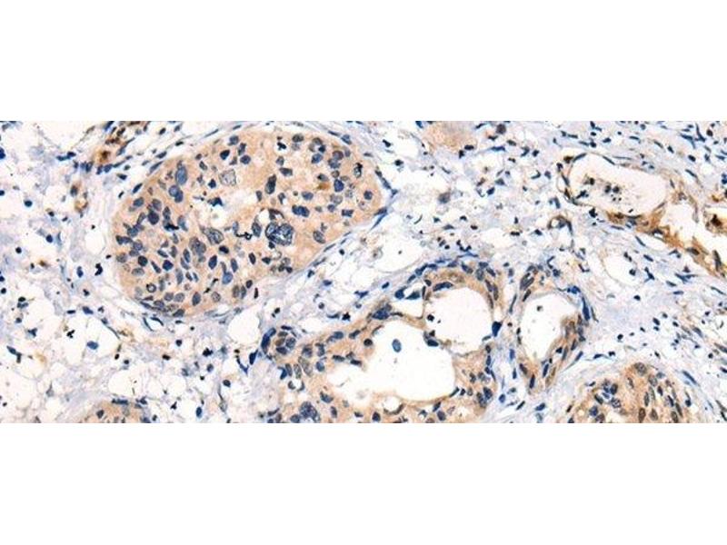
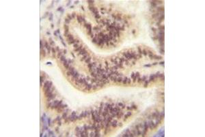
Cet anticorps Lapin Polyclonal détecte spécifiquement C16orf45 dans IHC et ELISA. Il présente une réactivité avec des échantillons de Humain, Souris et Rat.
N° du produit ABIN7244585
449,00 €
Plus frais de livraison 40,00 € et TVA
Destination: France
Envoi sous 9 à 13 jours ouvrables

Aperçu rapide pour C16orf45 anticorps (ABIN7244585)

Antigène

C16orf45 (Chromosome 16 Open Reading Frame 45 (C16orf45))

Reactivité

Humain, Souris, Rat

Hôte

  • 16
Lapin

Clonalité

  • 16
Polyclonal

Conjugué

  • 4
  • 2
  • 1
  • 1
  • 1
  • 1
  • 1
  • 1
  • 1
  • 1
  • 1
  • 1
Cet anticorp C16orf45 est non-conjugé

Application

  • 9
  • 7
  • 6
  • 2
  • 1
Immunohistochemistry (IHC), ELISA
  • Attributs du produit

    Polyclonal Antibody

    Purification

    Antigen affinity purification

    Immunogène

    Synthetic peptide of human C16orf45

    Isotype

    IgG
  • Indications d'application

    IHC 1:30-1:150, ELISA 1:5000-1:10000

    Restrictions

    For Research Use only
  • Format

    Liquid

    Concentration

    0.7 mg/mL

    Buffer

    PBS with 0.05 % Sodium azide and 40 % Glycerol, pH 7.4

    Agent conservateur

    Sodium azide

    Précaution d'utilisation

    This product contains Sodium azide: a POISONOUS AND HAZARDOUS SUBSTANCE which should be handled by trained staff only.

    Stock

    -20 °C

    Stockage commentaire

    Store at -20°C. Avoid freeze / thaw cycles.
  • Antigène

    C16orf45 (Chromosome 16 Open Reading Frame 45 (C16orf45))

    Autre désignation

    C16orf45

    Sujet

    C16orf45, also known as FLJ32618, is a 204 amino acid protein encoded by a gene mapping to human chromosome 16. Chromosome 16 encodes over 900 genes in approximately 90 million base pairs, makes up nearly 3 % of human cellular DNA and is associated with a variety of genetic disorders. The GAN gene is located on chromosome 16 and, with mutation, may lead to giant axonal neuropathy, a nervous system disorder characterized by increasing malfunction with growth. The rare disorder Rubinstein-Taybi syndrome is also associated with chromosome 16, though through the CREBBP gene which encodes a critical CREB binding protein. Signs of Rubinstein-Taybi include mental retardation and predisposition to tumor growth and white blood cell neoplasias. Crohn's disease is a gastrointestinal inflammatory condition associated with chromosome 16 through the NOD2 gene. An association with systemic lupus erythematosis and a number of other autoimmune disorders with the pericentromeric region of chromosome 16 has led to the identification of SLC5A11 as a potential autoimmune modifier.

    UniProt

    Q96MC5
Vous êtes ici:
Chat with us!