×
Pour une meilleure utilisation, nous vous conseillons d’activer Javascript dans votre navigateur.
GARNL3 anticorps
L’anticorps anti-GARNL3 Polyclonal Lapin est utilisé pour la détection de GARNL3 dans des échantillons de Souris et Humain. Il a été validé pour ELISA et IHC.
N° du produit ABIN7245026
449,00 €
Plus frais de livraison 40,00 € et TVA
20 μL ABIN7003560
60 μL ABIN7245024
120 μL ABIN7245025
200 μL ABIN7245026
20 μL ABIN7003560
60 μL ABIN7245024
120 μL ABIN7245025
200 μL ABIN7245026
Envoi sous 9 à 13 jours ouvrables
Aperçu rapide pour GARNL3 anticorps (ABIN7245026)
Antigène
GARNL3
(GTPase Activating Rap/RanGAP Domain-Like 3 (GARNL3))
Reactivité
Souris, Humain
Hôte
Toutes les hôtes sur GARNL3 Anticorps
Lapin
Clonalité
Toutes les clonalités sur GARNL3 Anticorps
Polyclonal
Conjugué
Tous les conjugués à travers GARNL3 Anticorps
Cet anticorp GARNL3 est non-conjugé
Application
Tous les applications à travers GARNL3 Anticorps.
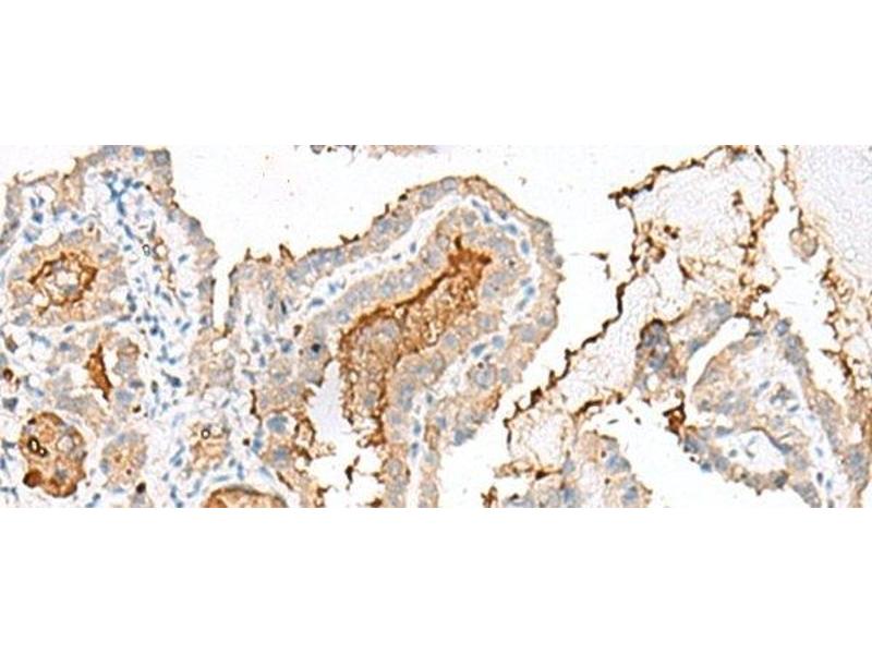
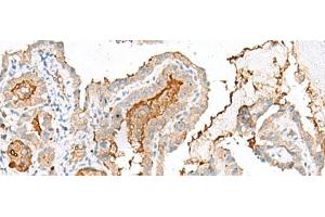
ELISA, Immunohistochemistry (IHC)
Détail du produit anti-GARNL3 anticorps
(cache)
Attributs du produit
Polyclonal Antibody
Purification
Antigen affinity purification
Immunogène
Synthetic peptide of human GARNL3
Isotype
IgG
Alternatives
(show)
Information d'application
(cache)
Indications d'application
IHC 1:40-1:200, ELISA 1:5000-1:10000
Restrictions
For Research Use only
Stockage
(cache)
Format
Liquid
Concentration
0.96 mg/mL
Buffer
PBS with 0.05 % Sodium azide and 40 % Glycerol, pH 7.4
Agent conservateur
Sodium azide
Précaution d'utilisation
This product contains Sodium azide: a POISONOUS AND HAZARDOUS SUBSTANCE which should be handled by trained staff only.
Stock
-20 °C
Stockage commentaire
Store at -20°C. Avoid freeze / thaw cycles.
Détails sur GARNL3
(cache)
Antigène
GARNL3
(GTPase Activating Rap/RanGAP Domain-Like 3 (GARNL3))
Autre désignation
GARNL3
Sujet
The function of this protein remains unknown.
UniProt
Q5VVW2
Vus récemment
(cache)
Chat with us , powered by LiveChat