Tel:
+49 (0)241 95 163 153
Fax:
+49 (0)241 95 163 155
E-Mail:
orders@anticorps-enligne.fr

GPR89A anticorps

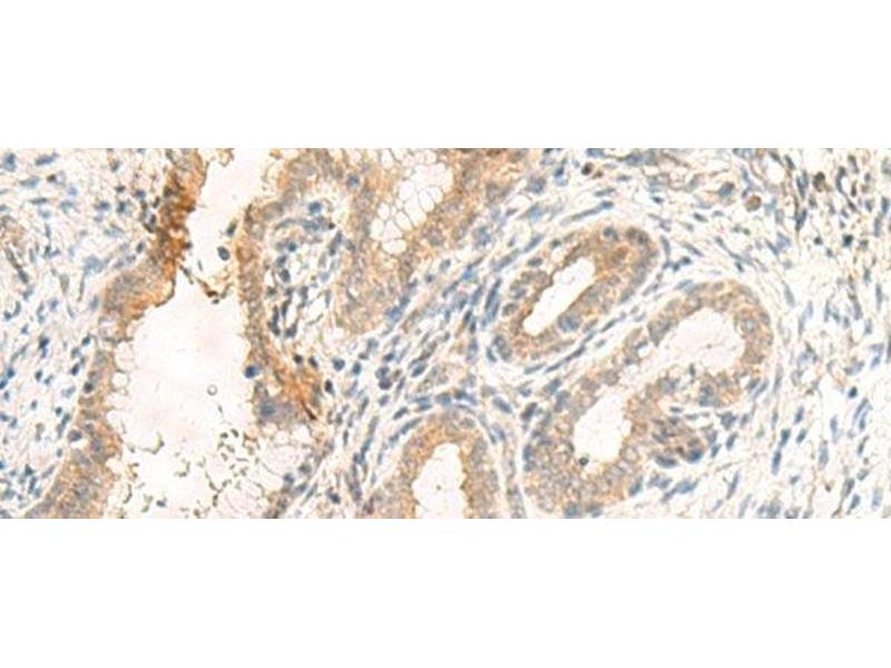
Cet anticorps anti-GPR89A Polyclonal Lapin (ABIN7245164) détecte spécifiquement GPR89A dans ELISA et IHC. L’anticorps est réactif avec des échantillons de Humain et Souris.
N° du produit ABIN7245164
449,00 €
Plus frais de livraison 40,00 € et TVA
Destination: France
Envoi sous 9 à 13 jours ouvrables

Aperçu rapide pour GPR89A anticorps (ABIN7245164)

Antigène

Voir toutes GPR89A Anticorps
GPR89A (G Protein-Coupled Receptor 89A (GPR89A))

Reactivité

  • 18
  • 15
  • 10
  • 2
  • 2
  • 1
  • 1
  • 1
  • 1
  • 1
  • 1
  • 1
Humain, Souris

Hôte

  • 29
  • 1
Lapin

Clonalité

  • 29
  • 1
Polyclonal

Conjugué

  • 9
  • 2
  • 1
  • 1
  • 1
  • 1
  • 1
  • 1
  • 1
  • 1
  • 1
  • 1
  • 1
  • 1
  • 1
  • 1
  • 1
  • 1
  • 1
  • 1
  • 1
Cet anticorp GPR89A est non-conjugé

Application

  • 18
  • 13
  • 13
  • 5
  • 5
  • 3
  • 2
  • 1
ELISA, Immunohistochemistry (IHC)
Vous êtes ici:
Chat with us!