Tel:
+49 (0)241 95 163 153
Fax:
+49 (0)241 95 163 155
E-Mail:
orders@anticorps-enligne.fr

MED31 anticorps

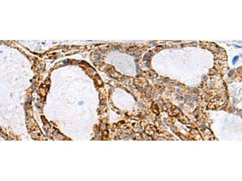
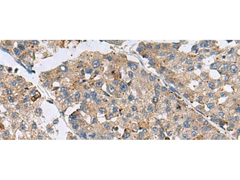
Cet anticorps Lapin Polyclonal détecte spécifiquement MED31 dans ELISA et IHC. Il présente une réactivité avec des échantillons de Humain et Souris.
N° du produit ABIN7247414
449,00 €
Plus frais de livraison 40,00 € et TVA
Destination: France
Envoi sous 9 à 13 jours ouvrables

Aperçu rapide pour MED31 anticorps (ABIN7247414)

Antigène

Voir toutes MED31 Anticorps
MED31 (Mediator Complex Subunit 31 (MED31))

Reactivité

  • 18
  • 9
  • 6
  • 4
  • 3
  • 3
  • 3
  • 3
  • 2
  • 1
  • 1
  • 1
  • 1
Humain, Souris

Hôte

  • 16
  • 2
Lapin

Clonalité

  • 16
  • 2
Polyclonal

Conjugué

  • 14
  • 2
  • 1
  • 1
Cet anticorp MED31 est non-conjugé

Application

  • 13
  • 12
  • 3
  • 2
  • 2
  • 1
ELISA, Immunohistochemistry (IHC)
  • Attributs du produit

    Polyclonal Antibody

    Purification

    Antigen affinity purification

    Immunogène

    Fusion protein of human MED31

    Isotype

    IgG
  • Indications d'application

    IHC 1:100-1:300, ELISA 1:5000-1:10000

    Restrictions

    For Research Use only
  • Format

    Liquid

    Concentration

    0.84 mg/mL

    Buffer

    PBS with 0.05 % Sodium azide and 40 % Glycerol, pH 7.4

    Agent conservateur

    Sodium azide

    Précaution d'utilisation

    This product contains Sodium azide: a POISONOUS AND HAZARDOUS SUBSTANCE which should be handled by trained staff only.

    Stock

    -20 °C

    Stockage commentaire

    Store at -20°C. Avoid freeze / thaw cycles.
  • Antigène

    MED31 (Mediator Complex Subunit 31 (MED31))

    Autre désignation

    MED31

    Sujet

    Component of the Mediator complex, a coactivator involved in the regulated transcription of nearly all RNA polymerase II-dependent genes. Mediator functions as a bridge to convey information from gene-specific regulatory proteins to the basal RNA polymerase II transcription machinery. Mediator is recruited to promoters by direct interactions with regulatory proteins and serves as a scaffold for the assembly of a functional preinitiation complex with RNA polymerase II and the general transcription factors.

    UniProt

    Q9Y3C7

    Pathways

    Regulation of Lipid Metabolism by PPARalpha
Vous êtes ici:
Chat with us!