Tel:
+49 (0)241 95 163 153
Fax:
+49 (0)241 95 163 155
E-Mail:
orders@anticorps-enligne.fr

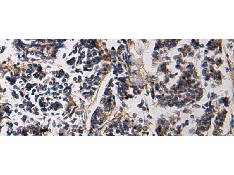
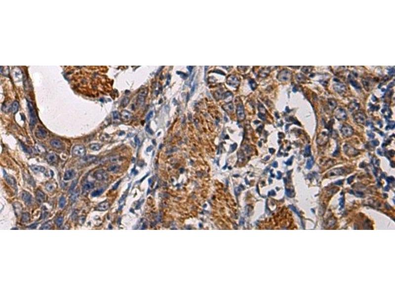
SSH3 anticorps

L’anticorps anti-SSH3 Polyclonal Lapin est utilisé pour la détection de SSH3 dans des échantillons de Humain. Il a été validé pour ELISA et IHC.
N° du produit ABIN7247765
449,00 €
Plus frais de livraison 40,00 € et TVA
Destination: France
Envoi sous 9 à 13 jours ouvrables

Aperçu rapide pour SSH3 anticorps (ABIN7247765)

Antigène

Voir toutes SSH3 Anticorps
SSH3 (Slingshot Homolog 3 (SSH3))

Reactivité

  • 40
  • 8
  • 6
Humain

Hôte

  • 37
  • 3
Lapin

Clonalité

  • 38
  • 2
Polyclonal

Conjugué

  • 25
  • 3
  • 2
  • 2
  • 1
  • 1
  • 1
  • 1
  • 1
  • 1
  • 1
  • 1
Cet anticorp SSH3 est non-conjugé

Application

  • 28
  • 21
  • 19
  • 17
  • 10
  • 7
  • 4
  • 4
  • 1
  • 1
  • 1
ELISA, Immunohistochemistry (IHC)
  • Attributs du produit

    Polyclonal Antibody

    Purification

    Antigen affinity purification

    Immunogène

    Fusion protein of human SSH3

    Isotype

    IgG
  • Indications d'application

    IHC 1:50-1:200, ELISA 1:5000-1:10000

    Restrictions

    For Research Use only
  • Format

    Liquid

    Concentration

    1.02 mg/mL

    Buffer

    PBS with 0.05 % Sodium azide and 40 % Glycerol, pH 7.4

    Agent conservateur

    Sodium azide

    Précaution d'utilisation

    This product contains Sodium azide: a POISONOUS AND HAZARDOUS SUBSTANCE which should be handled by trained staff only.

    Stock

    -20 °C

    Stockage commentaire

    Store at -20°C. Avoid freeze / thaw cycles.
  • Antigène

    SSH3 (Slingshot Homolog 3 (SSH3))

    Autre désignation

    SSH3

    Sujet

    The ADF (actin-depolymerizing factor)/cofilin family (see MIM 601442) is composed of stimulus-responsive mediators of actin dynamics. ADF/cofilin proteins are inactivated by kinases such as LIM domain kinase-1 (LIMK1, MIM 601329). The SSH family appears to play a role in actin dynamics by reactivating ADF/cofilin proteins in vivo.SSH3 (Slingshot Protein Phosphatase 3) is a Protein Coding gene. Among its related pathways are Regulation of actin cytoskeleton and Cytoskeletal Signaling. GO annotations related to this gene include actin binding and protein tyrosine phosphatase activity. An important paralog of this gene is SSH1.

    UniProt

    Q8TE77
Vous êtes ici:
Chat with us!