×
Pour une meilleure utilisation, nous vous conseillons d’activer Javascript dans votre navigateur.
NDUFA2 anticorps
Cet anticorps Lapin Polyclonal détecte spécifiquement NDUFA2 dans ELISA, WB et IHC. Il présente une réactivité avec des échantillons de Humain et Souris.
N° du produit ABIN7248977
449,00 €
Plus frais de livraison 40,00 € et TVA
20 μL ABIN7005017
60 μL ABIN7248975
120 μL ABIN7248976
200 μL ABIN7248977
20 μL ABIN7005017
60 μL ABIN7248975
120 μL ABIN7248976
200 μL ABIN7248977
Envoi sous 9 à 13 jours ouvrables
Aperçu rapide pour NDUFA2 anticorps (ABIN7248977)
Antigène
Voir toutes NDUFA2 Anticorps
NDUFA2
(NADH Dehydrogenase (Ubiquinone) 1 alpha Subcomplex, 2, 8kDa (NDUFA2))
Reactivité
Humain, Souris
Hôte
Toutes les hôtes sur NDUFA2 Anticorps
Lapin
Clonalité
Toutes les clonalités sur NDUFA2 Anticorps
Polyclonal
Conjugué
Tous les conjugués à travers NDUFA2 Anticorps
Cet anticorp NDUFA2 est non-conjugé
Application
Tous les applications à travers NDUFA2 Anticorps.
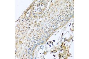
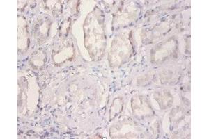
ELISA, Western Blotting (WB), Immunohistochemistry (IHC)
Détail du produit anti-NDUFA2 anticorps
(cache)
Attributs du produit
Polyclonal Antibody
Purification
Affinity purification
Immunogène
Recombinant protein of human NDUFA2
Isotype
IgG
Alternatives
(show)
Information d'application
(cache)
Indications d'application
WB 1:500-1:2000, IHC 1:25-1:100
Restrictions
For Research Use only
Stockage
(cache)
Format
Liquid
Concentration
0.4 mg/mL
Buffer
PBS with 0.05 % sodium azide and 50 % glycerol, PH7.4
Agent conservateur
Sodium azide
Précaution d'utilisation
This product contains Sodium azide: a POISONOUS AND HAZARDOUS SUBSTANCE which should be handled by trained staff only.
Stock
-20 °C
Stockage commentaire
Store at -20°C. Avoid freeze / thaw cycles.
Détails sur NDUFA2
(cache)
Antigène
NDUFA2
(NADH Dehydrogenase (Ubiquinone) 1 alpha Subcomplex, 2, 8kDa (NDUFA2))
Autre désignation
NDUFA2
Sujet
The encoded protein is a subunit of the hydrophobic protein fraction of the NADH:ubiquinone oxidoreductase (complex 1), the first enzyme complex in the electron transport chain located in the inner mitochondrial membrane, and may be involved in regulating complex I activity or its assembly via assistance in redox processes. Mutations in this gene are associated with Leigh syndrome, an early-onset progressive neurodegenerative disorder.
Poids moléculaire
11 kDa
UniProt
O43678
Vus récemment
(cache)
Chat with us , powered by LiveChat