Ly6g anticorps
Aperçu rapide pour Ly6g anticorps (ABIN7265304)
Antigène
Reactivité
Hôte
Clonalité
Conjugué
Application
-
-
Attributs du produit
- Polyclonal Antibody
-
Purification
- Affinity purification
-
Immunogène
- Recombinant protein corresponding to Mouse Ly6g
-
Isotype
- IgG
-
-
-
-
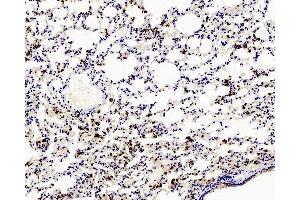
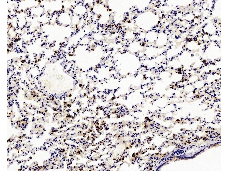
Indications d'application
- IHC 1:300-1:1000, IF 1:200-1:500
-
Restrictions
- For Research Use only
-
-
-
Format
- Liquid
-
Concentration
- 360 μg/mL
-
Buffer
- PBS with 0.02 % sodium azide, 1 % BSA and 50 % glycerol, pH 7.4
-
Agent conservateur
- Sodium azide
-
Précaution d'utilisation
- This product contains Sodium azide: a POISONOUS AND HAZARDOUS SUBSTANCE which should be handled by trained staff only.
-
Stock
- -20 °C
-
Stockage commentaire
- Store at -20°C. Avoid freeze / thaw cycles.
-
-
- Ly6g (Lymphocyte Antigen 6 Complex, Locus G (Ly6g))
-
Autre désignation
- Ly6g
-
Sujet
- Ly6G is a GPI-anchored protein, that is also known as the myeloid differentiation antigen Gr1. The antigen is transiently expressed on monocytes in the bone marrow. The level of antigen expression in the bone marrow directly correlates with granulocyte differentiation and maturation. Ly6G is expressed predominantly on neutrophils, also in a subset of eosinophils, differentiating pre-monocytes, and plasmacytoid dendritic cells.
-
UniProt
- P35461
Antigène
-