Tel:
+49 (0)241 95 163 153
Fax:
+49 (0)241 95 163 155
E-Mail:
orders@anticorps-enligne.fr

MEST anticorps

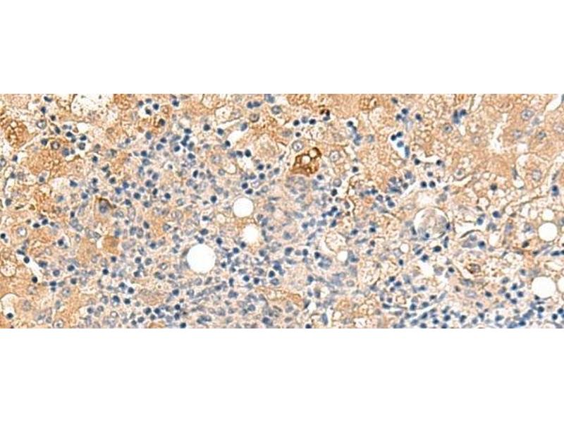
Cet anticorps anti-MEST Polyclonal Lapin (ABIN7253326) détecte spécifiquement MEST dans WB, ELISA et IHC. L’anticorps est réactif avec des échantillons de Humain, Souris et Rat.
N° du produit ABIN7253326
449,00 €
Plus frais de livraison 40,00 € et TVA
Destination: France
Envoi sous 9 à 13 jours ouvrables

Aperçu rapide pour MEST anticorps (ABIN7253326)

Antigène

Voir toutes MEST Anticorps
MEST (Mesoderm Specific Transcript (MEST))

Reactivité

Humain, Souris, Rat

Hôte

  • 15
  • 1
  • 1
Lapin

Clonalité

  • 16
  • 1
Polyclonal

Conjugué

  • 10
  • 1
  • 1
  • 1
  • 1
  • 1
  • 1
  • 1
Cet anticorp MEST est non-conjugé

Application

  • 9
  • 6
  • 6
  • 5
  • 1
  • 1
Western Blotting (WB), ELISA, Immunohistochemistry (IHC)
  • Attributs du produit

    Polyclonal Antibody

    Purification

    Antigen affinity purification

    Immunogène

    Fusion protein of human MEST

    Isotype

    IgG
  • Indications d'application

    WB 1:500-1:2000, IHC 1:50-1:300, ELISA 1:5000-1:10000

    Restrictions

    For Research Use only
  • Format

    Liquid

    Concentration

    0.9 mg/mL

    Buffer

    PBS with 0.05 % Sodium azide and 40 % Glycerol, pH 7.4

    Agent conservateur

    Sodium azide

    Précaution d'utilisation

    This product contains Sodium azide: a POISONOUS AND HAZARDOUS SUBSTANCE which should be handled by trained staff only.

    Stock

    -20 °C

    Stockage commentaire

    Store at -20°C. Avoid freeze / thaw cycles.
  • Antigène

    MEST (Mesoderm Specific Transcript (MEST))

    Autre désignation

    MEST

    Sujet

    MEST(Mesoderm-specific transcript homolog protein) is also named as PEG1 and belongs to the AB hydrolase superfamily. The gene is a imprinting gene,which is associated with growth of mesodermal origin cells and plays important roles in embryo development. It is also a novel regulator of Wnt/CTNNB signalling during adipogenic differentiation. It has 3 isoforms produced by alternative splicing and the full length protein has a glycosylation site.

    Poids moléculaire

    Observed_MW: Refer to figures

    Calculated_MW: 39 kDa

    UniProt

    Q5EB52
Vous êtes ici:
Chat with us!