CHD4 anticorps
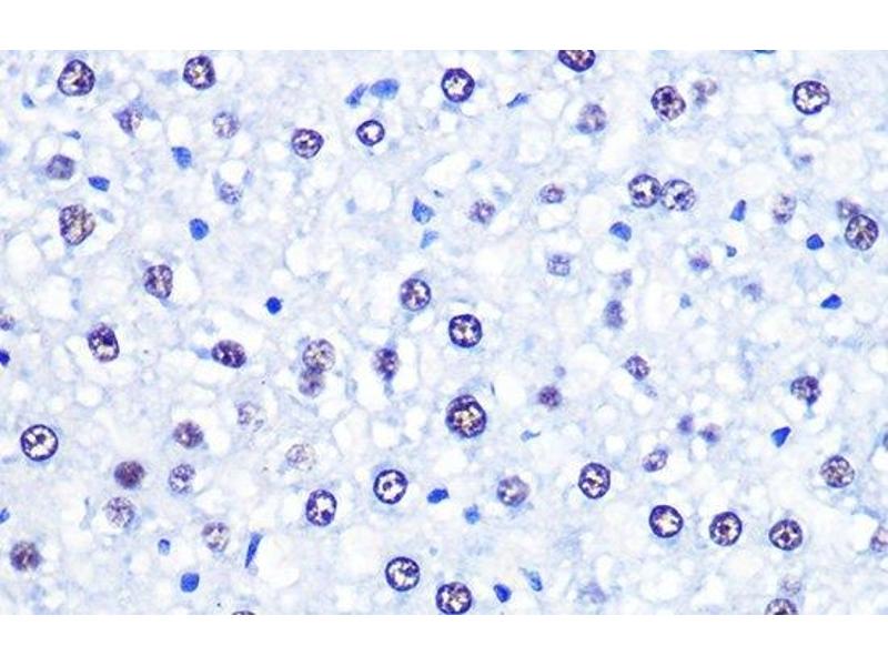
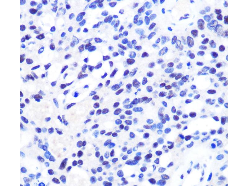
Aperçu rapide pour CHD4 anticorps (ABIN7255670)
Antigène
Voir toutes CHD4 AnticorpsReactivité
Hôte
Clonalité
Conjugué
Application
-
-
Attributs du produit
- Polyclonal Antibody
-
Purification
- Affinity purification
-
Immunogène
- Recombinant fusion protein of human CHD4 (NP_001264.2).
-
Isotype
- IgG
-
-
-
-
Indications d'application
- IHC 1:100-1:200 IF 1:50-1:200
-
Restrictions
- For Research Use only
-
-
-
Format
- Liquid
-
Concentration
- 1 mg/mL
-
Buffer
- PBS with 0.02 % sodium azide, 50 % glycerol, pH 7.3
-
Agent conservateur
- Sodium azide
-
Précaution d'utilisation
- This product contains Sodium azide: a POISONOUS AND HAZARDOUS SUBSTANCE which should be handled by trained staff only.
-
Stock
- -20 °C
-
Stockage commentaire
- Store at -20°C. Avoid freeze / thaw cycles.
-
-
- CHD4 (Chromodomain Helicase DNA Binding Protein 4 (CHD4))
-
Autre désignation
- CHD4
-
Sujet
- The product of this gene belongs to the SNF2/RAD54 helicase family. It represents the main component of the nucleosome remodeling and deacetylase complex and plays an important role in epigenetic transcriptional repression. Patients with dermatomyositis develop antibodies against this protein. Somatic mutations in this gene are associated with serous endometrial tumors. Alternative splicing results in multiple transcript variants encoding different isoforms.
-
ID gène
- 1108
-
UniProt
- Q14839
Antigène
-