Tel:
+49 (0)241 95 163 153
Fax:
+49 (0)241 95 163 155
E-Mail:
orders@anticorps-enligne.fr

Bystin-Like anticorps

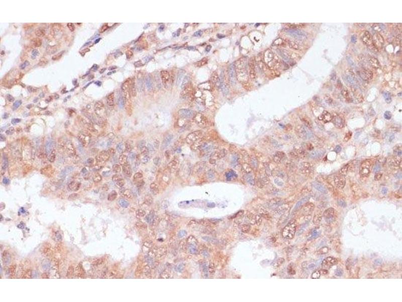
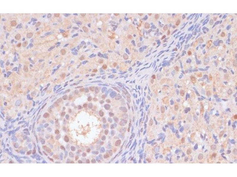
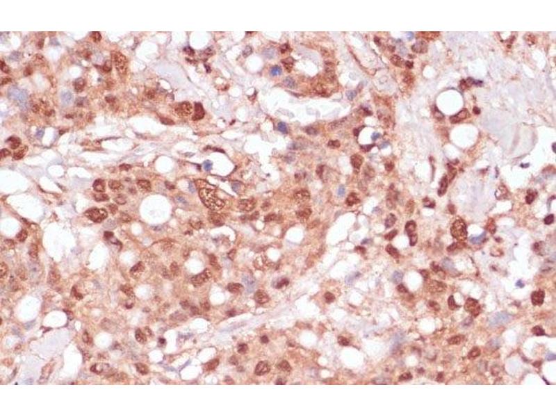
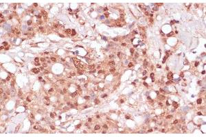
L’anticorps anti-Bystin-Like Polyclonal Lapin est utilisé pour la détection de Bystin-Like dans des échantillons de Humain, Souris et Rat. Il a été validé pour IHC.
N° du produit ABIN7255860
580,00 €
Plus frais de livraison 40,00 € et TVA
Destination: France
Envoi sous 9 à 13 jours ouvrables

Aperçu rapide pour Bystin-Like anticorps (ABIN7255860)

Antigène

Voir toutes Bystin-Like (BYSL) Anticorps
Bystin-Like (BYSL)

Reactivité

Humain, Souris, Rat

Hôte

  • 5
  • 3
Lapin

Clonalité

  • 8
Polyclonal

Conjugué

  • 8
Cet anticorp Bystin-Like est non-conjugé

Application

  • 8
  • 4
  • 3
Immunohistochemistry (IHC)
  • Attributs du produit

    Polyclonal Antibody

    Purification

    Affinity purification

    Immunogène

    Recombinant fusion protein of human BYSL (NP_004044.3).

    Isotype

    IgG
  • Indications d'application

    IHC 1:50-1:100

    Restrictions

    For Research Use only
  • Format

    Liquid

    Concentration

    1 mg/mL

    Buffer

    PBS with 0.02 % sodium azide, 50 % glycerol, pH 7.3

    Agent conservateur

    Sodium azide

    Précaution d'utilisation

    This product contains Sodium azide: a POISONOUS AND HAZARDOUS SUBSTANCE which should be handled by trained staff only.

    Stock

    -20 °C

    Stockage commentaire

    Store at -20°C. Avoid freeze / thaw cycles.
  • Antigène

    Bystin-Like (BYSL)

    Autre désignation

    BYSL

    Sujet

    Bystin is expressed as a 2-kb major transcript and a 3.6-kb minor transcript in SNG-M cells and in human trophoblastic teratocarcinoma HT-H cells. Protein binding assays determined that bystin binds directly to trophinin and tastin, and that binding is enhanced when cytokeratins 8 and 18 are present. Immunocytochemistry of HT-H cells showed that bystin colocalizes with trophinin, tastin, and the cytokeratins, suggesting that these molecules form a complex in trophectoderm cells at the time of implantation. Using immunohistochemistry it was determined that trophinin and bystin are found in the placenta from the sixth week of pregnancy. Both proteins were localized in the cytoplasm of the syncytiotrophoblast in the chorionic villi and in endometrial decidual cells at the uteroplacental interface. After week 10, the levels of trophinin, tastin, and bystin decreased and then disappeared from placental villi.

    ID gène

    705

    UniProt

    Q13895

    Pathways

    Cellular Response to Molecule of Bacterial Origin
Vous êtes ici:
Chat with us!