Tel:
+49 (0)241 95 163 153
Fax:
+49 (0)241 95 163 155
E-Mail:
orders@anticorps-enligne.fr

AEBP1 anticorps

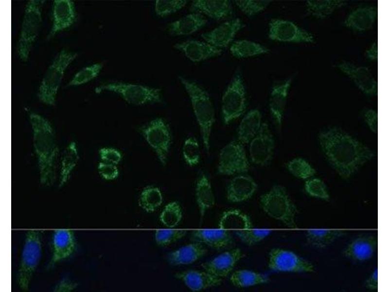
Cet anticorps Lapin Polyclonal détecte spécifiquement AEBP1 dans IF. Il présente une réactivité avec des échantillons de Humain, Souris et Rat.
N° du produit ABIN7259054
580,00 €
Plus frais de livraison 40,00 € et TVA
Destination: France
Envoi sous 9 à 13 jours ouvrables

Aperçu rapide pour AEBP1 anticorps (ABIN7259054)

Antigène

Voir toutes AEBP1 Anticorps
AEBP1 (AE Binding Protein 1 (AEBP1))

Reactivité

  • 34
  • 15
  • 6
  • 2
  • 2
  • 2
  • 1
  • 1
  • 1
  • 1
  • 1
Humain, Souris, Rat

Hôte

  • 32
  • 2
Lapin

Clonalité

  • 33
  • 1
Polyclonal

Conjugué

  • 20
  • 2
  • 2
  • 2
  • 1
  • 1
  • 1
  • 1
  • 1
  • 1
  • 1
  • 1
Cet anticorp AEBP1 est non-conjugé

Application

  • 21
  • 17
  • 6
  • 4
  • 3
  • 2
  • 2
  • 1
  • 1
  • 1
Immunofluorescence (IF)
  • Attributs du produit

    Polyclonal Antibody

    Purification

    Affinity purification

    Immunogène

    Recombinant fusion protein of human AEBP1 (NP_001120.3).

    Isotype

    IgG
  • Indications d'application

    IF 1:50-1:100

    Restrictions

    For Research Use only
  • Format

    Liquid

    Concentration

    1 mg/mL

    Buffer

    PBS with 0.02 % sodium azide, 50 % glycerol, pH 7.3

    Agent conservateur

    Sodium azide

    Précaution d'utilisation

    This product contains Sodium azide: a POISONOUS AND HAZARDOUS SUBSTANCE which should be handled by trained staff only.

    Stock

    -20 °C

    Stockage commentaire

    Store at -20°C. Avoid freeze / thaw cycles.
  • Antigène

    AEBP1 (AE Binding Protein 1 (AEBP1))

    Autre désignation

    AEBP1

    Sujet

    This gene encodes a member of carboxypeptidase A protein family. The encoded protein may function as a transcriptional repressor and play a role in adipogenesis and smooth muscle cell differentiation. Studies in mice suggest that this gene functions in wound healing and abdominal wall development. Overexpression of this gene is associated with glioblastoma.

    ID gène

    165

    UniProt

    Q8IUX7
Vous êtes ici:
Chat with us!