GBP1 anticorps
Aperçu rapide pour GBP1 anticorps (ABIN7010364)
Antigène
Voir toutes GBP1 AnticorpsReactivité
Hôte
Clonalité
Conjugué
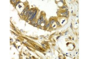
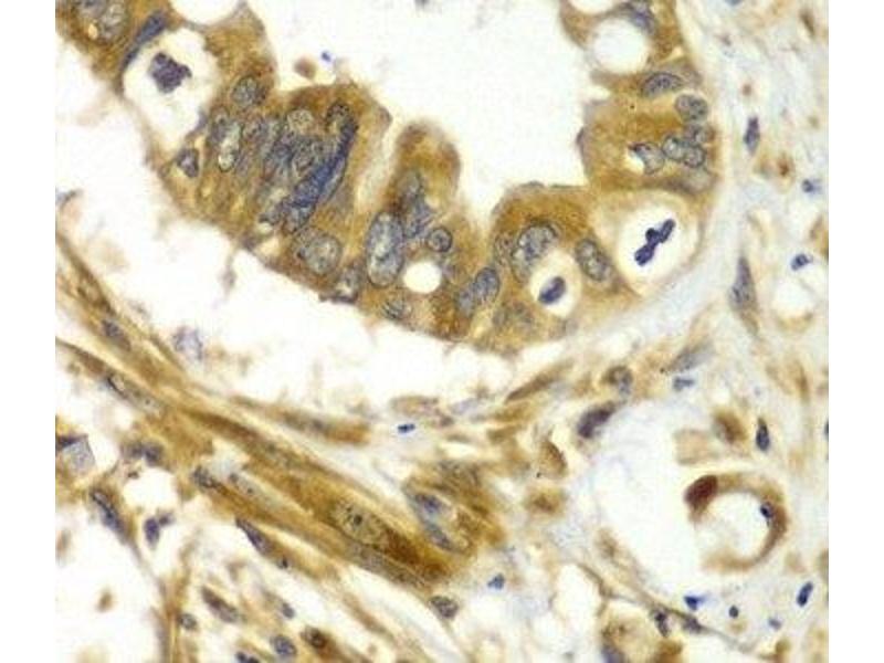
Application
-
-
Attributs du produit
- Polyclonal Antibody
-
Purification
- Affinity purification
-
Immunogène
- Recombinant fusion protein of human GBP1 (NP_002044.2).
-
Isotype
- IgG
-
-
-
-
Indications d'application
- IHC 1:20-1:200
-
Restrictions
- For Research Use only
-
-
-
Format
- Liquid
-
Concentration
- 1 mg/mL
-
Buffer
- PBS with 0.02 % sodium azide, 50 % glycerol, pH 7.3
-
Agent conservateur
- Sodium azide
-
Précaution d'utilisation
- This product contains Sodium azide: a POISONOUS AND HAZARDOUS SUBSTANCE which should be handled by trained staff only.
-
Stock
- -20 °C
-
Stockage commentaire
- Store at -20°C. Avoid freeze / thaw cycles.
-
-
- GBP1 (Guanylate Binding Protein 1, Interferon-Inducible (GBP1))
-
Autre désignation
- GBP1
-
Sujet
- Guanylate binding protein expression is induced by interferon. Guanylate binding proteins are characterized by their ability to specifically bind guanine nucleotides (GMP, GDP, and GTP) and are distinguished from the GTP-binding proteins by the presence of 2 binding motifs rather than 3.
-
ID gène
- 2633
-
UniProt
- P32455
-
Pathways
- Cellular Response to Molecule of Bacterial Origin
Antigène
-