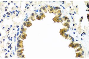
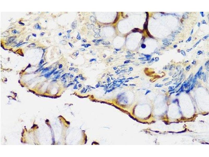
CRTAP anticorps
Aperçu rapide pour CRTAP anticorps (ABIN7261050)
Antigène
Voir toutes CRTAP AnticorpsReactivité
Hôte
Clonalité
Conjugué
Application
-
-
Attributs du produit
- Polyclonal Antibody
-
Purification
- Affinity purification
-
Immunogène
- Recombinant fusion protein of human CRTAP (NP_006362.1).
-
Isotype
- IgG
-
-
-
-
Indications d'application
- IHC 1:50-1:200
-
Restrictions
- For Research Use only
-
-
-
Format
- Liquid
-
Concentration
- 1 mg/mL
-
Buffer
- PBS with 0.02 % sodium azide, 50 % glycerol, pH 7.3
-
Agent conservateur
- Sodium azide
-
Précaution d'utilisation
- This product contains Sodium azide: a POISONOUS AND HAZARDOUS SUBSTANCE which should be handled by trained staff only.
-
Stock
- -20 °C
-
Stockage commentaire
- Store at -20°C. Avoid freeze / thaw cycles.
-
-
- CRTAP (Cartilage Associated Protein (CRTAP))
-
Autre désignation
- CRTAP
-
Sujet
- The protein encoded by this gene is similar to the chicken and mouse CRTAP genes. The encoded protein is a scaffolding protein that may influence the activity of at least one member of the cytohesin/ARNO family in response to specific cellular stimuli. Defects in this gene are associated with osteogenesis imperfecta, a connective tissue disorder characterized by bone fragility and low bone mass.
-
ID gène
- 10491
-
UniProt
- O75718
Antigène
-