Tel:
+49 (0)241 95 163 153
Fax:
+49 (0)241 95 163 155
E-Mail:
orders@anticorps-enligne.fr

SNRNP70 anticorps

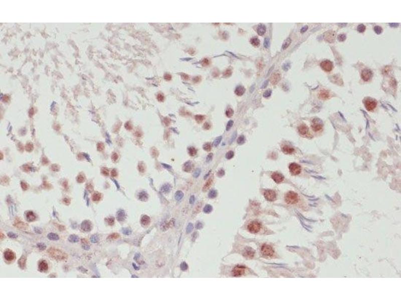
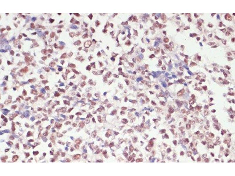
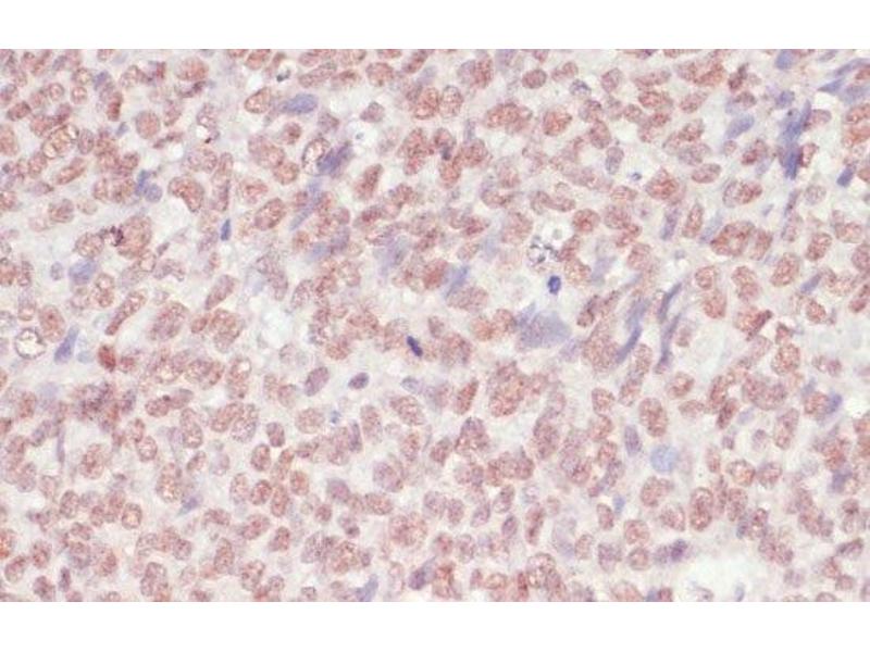
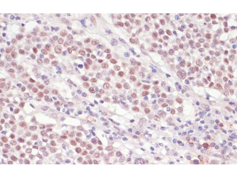
Cet anticorps anti-SNRNP70 Polyclonal Lapin (ABIN7261930) détecte spécifiquement SNRNP70 dans WB et IHC. L’anticorps est réactif avec des échantillons de Humain, Rat et Souris.
N° du produit ABIN7261930
449,00 €
Plus frais de livraison 40,00 € et TVA
Destination: France
Envoi sous 9 à 13 jours ouvrables

Aperçu rapide pour SNRNP70 anticorps (ABIN7261930)

Antigène

Voir toutes SNRNP70 Anticorps
SNRNP70 (Small Nuclear Ribonucleoprotein 70kDa (U1) (SNRNP70))

Reactivité

  • 20
  • 9
  • 7
  • 6
  • 5
  • 5
  • 5
  • 5
  • 3
  • 3
  • 3
  • 3
  • 2
  • 2
Humain, Rat, Souris

Hôte

  • 20
Lapin

Clonalité

  • 20
Polyclonal

Conjugué

  • 15
  • 1
  • 1
  • 1
  • 1
  • 1
Cet anticorp SNRNP70 est non-conjugé

Application

  • 19
  • 10
  • 9
  • 2
  • 2
  • 2
  • 1
Western Blotting (WB), Immunohistochemistry (IHC)
  • Attributs du produit

    Polyclonal Antibody

    Purification

    Affinity purification

    Immunogène

    A synthetic peptide of human SNRNP70 (NP_003080.2).

    Isotype

    IgG
  • Indications d'application

    WB 1:500-1:1000 IHC 1:50-1:100

    Restrictions

    For Research Use only
  • Format

    Liquid

    Concentration

    1 mg/mL

    Buffer

    PBS with 0.02 % sodium azide, 50 % glycerol, pH 7.3

    Agent conservateur

    Sodium azide

    Précaution d'utilisation

    This product contains Sodium azide: a POISONOUS AND HAZARDOUS SUBSTANCE which should be handled by trained staff only.

    Stock

    -20 °C

    Stockage commentaire

    Store at -20°C. Avoid freeze / thaw cycles.
  • Antigène

    SNRNP70 (Small Nuclear Ribonucleoprotein 70kDa (U1) (SNRNP70))

    Autre désignation

    SNRNP70

    Sujet

    SNRNP70 (Small Nuclear Ribonucleoprotein U1 Subunit 70) is a Protein Coding gene. Diseases associated with SNRNP70 include Mixed Connective Tissue Disease and Facial Hemiatrophy. Among its related pathways are Gene Expression and mRNA Splicing - Major Pathway. Gene Ontology (GO) annotations related to this gene include nucleic acid binding and RNA binding. An important paralog of this gene is SNRNP35.

    Poids moléculaire

    Observed_MW: 65 kDa

    Calculated_MW: 19 kDa/39 kDa/50 kDa/51 kDa

    ID gène

    6625

    UniProt

    P08621
Vous êtes ici:
Chat with us!