TES anticorps
Aperçu rapide pour TES anticorps (ABIN7263067)
Antigène
Voir toutes TES AnticorpsReactivité
Hôte
Clonalité
Conjugué
Application
-
-
Attributs du produit
- Polyclonal Antibody
-
Purification
- Affinity purification
-
Immunogène
- Recombinant fusion protein of human TES (NP_056456.1).
-
Isotype
- IgG
-
-
-
-
Indications d'application
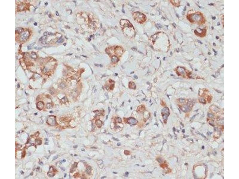
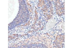
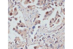
- IHC 1:50-1:200
-
Restrictions
- For Research Use only
-
-
-
Format
- Liquid
-
Concentration
- 1 mg/mL
-
Buffer
- PBS with 0.02 % sodium azide, 50 % glycerol, pH 7.3
-
Agent conservateur
- Sodium azide
-
Précaution d'utilisation
- This product contains Sodium azide: a POISONOUS AND HAZARDOUS SUBSTANCE which should be handled by trained staff only.
-
Stock
- -20 °C
-
Stockage commentaire
- Store at -20°C. Avoid freeze / thaw cycles.
-
-
- TES (Testis Derived Transcript (3 LIM Domains) (TES))
-
Autre désignation
- TES
-
Sujet
- Cancer-associated chromosomal changes often involve regions containing fragile sites. This gene maps to a commom fragile site on chromosome 7q31.2 designated FRA7G. This gene is similar to mouse Testin, a testosterone-responsive gene encoding a Sertoli cell secretory protein containing three LIM domains. LIM domains are double zinc-finger motifs that mediate protein-protein interactions between transcription factors, cytoskeletal proteins and signaling proteins. This protein is a negative regulator of cell growth and may act as a tumor suppressor. This scaffold protein may also play a role in cell adhesion, cell spreading and in the reorganization of the actin cytoskeleton. Multiple protein isoforms are encoded by transcript variants of this gene.
-
ID gène
- 26136
-
UniProt
- Q9UGI8
Antigène
-