Tel:
+49 (0)241 95 163 153
Fax:
+49 (0)241 95 163 155
E-Mail:
orders@anticorps-enligne.fr

NAT15 anticorps

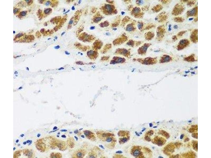
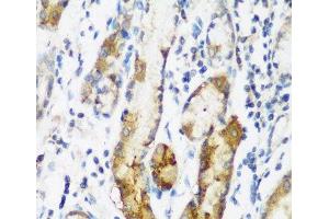
Cet anticorps Lapin Polyclonal détecte spécifiquement NAT15 dans IHC. Il présente une réactivité avec des échantillons de Humain, Souris et Rat.
N° du produit ABIN7263409
580,00 €
Plus frais de livraison 40,00 € et TVA
Destination: France
Envoi sous 9 à 13 jours ouvrables

Aperçu rapide pour NAT15 anticorps (ABIN7263409)

Antigène

Voir toutes NAT15 Anticorps
NAT15 (N-Acetyltransferase 15 (NAT15))

Reactivité

  • 33
  • 28
  • 6
  • 3
  • 3
  • 3
  • 2
  • 2
  • 2
  • 2
  • 2
Humain, Souris, Rat

Hôte

  • 46
  • 2
Lapin

Clonalité

  • 48
Polyclonal

Conjugué

  • 16
  • 5
  • 4
  • 4
  • 1
  • 1
  • 1
  • 1
  • 1
  • 1
  • 1
  • 1
  • 1
  • 1
  • 1
  • 1
  • 1
  • 1
  • 1
  • 1
  • 1
  • 1
  • 1
Cet anticorp NAT15 est non-conjugé

Application

  • 32
  • 19
  • 13
  • 13
  • 5
  • 3
  • 3
  • 2
  • 2
  • 1
Immunohistochemistry (IHC)
  • Attributs du produit

    Polyclonal Antibody

    Purification

    Affinity purification

    Immunogène

    Recombinant fusion protein of human NAA60 (NP_079121.1).

    Isotype

    IgG
  • Indications d'application

    IHC 1:50-1:200

    Restrictions

    For Research Use only
  • Format

    Liquid

    Concentration

    1 mg/mL

    Buffer

    PBS with 0.02 % sodium azide, 50 % glycerol, pH 7.3

    Agent conservateur

    Sodium azide

    Précaution d'utilisation

    This product contains Sodium azide: a POISONOUS AND HAZARDOUS SUBSTANCE which should be handled by trained staff only.

    Stock

    -20 °C

    Stockage commentaire

    Store at -20°C. Avoid freeze / thaw cycles.
  • Antigène

    NAT15 (N-Acetyltransferase 15 (NAT15))

    Autre désignation

    NAA60

    Sujet

    This gene encodes an enzyme that localizes to the Golgi apparatus, where it transfers an acetyl group to the N-terminus of free proteins. This enzyme acts on histones, and its activity is important for chromatin assembly and chromosome integrity. Alternative splicing and the use of alternative promoters results in multiple transcript variants. The upstream promoter is located in a differentially methylated region (DMR) and undergoes imprinting, transcript variants originating from this position are expressed from the maternal allele.

    ID gène

    79903

    UniProt

    Q9H7X0
Vous êtes ici:
Chat with us!